下载或打开 医联APP 查看完整评论
立即下载
打开APP
患者男性,43岁。左鼻腔间歇出血2月,加重7天 患者诉2月前感冒后起反复左侧鼻腔出血,每一至两天一次,量约数滴至数毫升,患者为医务人员,自行用指压或填塞棉球能止住。一周前开始加重,每天有一至两次。
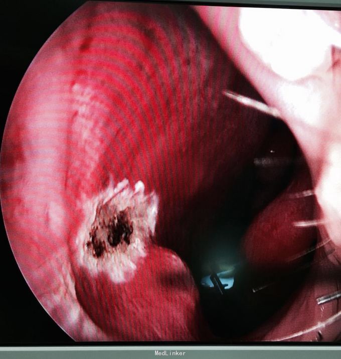
一般情况好,左鼻腔Little 's 区见红色肉芽样新生物,触之易出血,约米粒大小,质软。见图 肝功能、肾功能,血常规,出凝血时间均正常。

诊断:鼻中隔新生物(血管瘤可能) 处理:局部麻醉鼻内镜下行新生物摘除,双极电凝止血。 术后病理:肉芽性血管瘤

随访已2周,未再出血,局部愈合好。 讨论: 1,鼻出血是耳鼻咽喉科常见病症,little 's 区多发 2,肉芽性血管瘤常炎症或外伤(如喜挖鼻者)后,本病例起于感冒后,炎症是一个病因。 3,鼻出血需根据病因予以相应治疗。