打开应用

安氏三类

罗医师   四川大学华西口腔医院

主诉 病史

牙齿不齐

查体 辅查

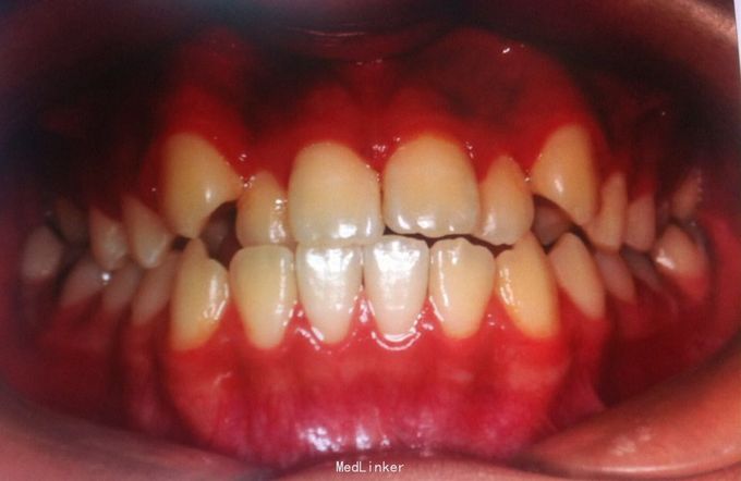
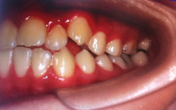
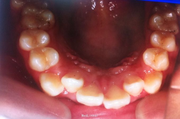
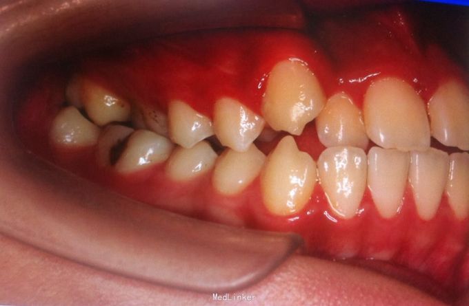
恒牙期 12、22舌侧错位 左侧磨牙中性关系,右侧磨牙远中关系、反合 前牙覆合覆盖正常 牙列拥挤

诊断 处理

牙列拥挤、安氏二类 不拔牙矫治,直丝弓矫治器,排齐整平上下牙列,矫治后磨牙中性关系,前牙覆合覆盖正常,维持现有面型

随访 讨论

1、口腔卫生状况差,正畸前建议牙周科,牙体牙髓科治疗 2、全景示44根方有一高密度影,必要时外科治疗 3、不拔牙矫治维持现有面型,若需进一步改善嘴唇突度,可考虑在治疗中拔牙

发布于 15-11-16 20:29

4 个评论

发送