打开应用

安氏三类,先天缺牙

罗医师   四川大学华西口腔医院
先天缺牙 先天缺牙

主诉 病史

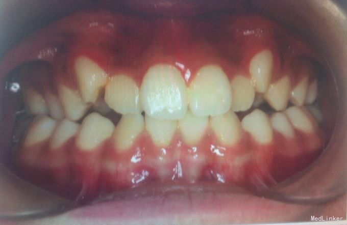
主诉:牙齿不齐 未曾行过正畸治疗,无家族遗传史

查体 辅查

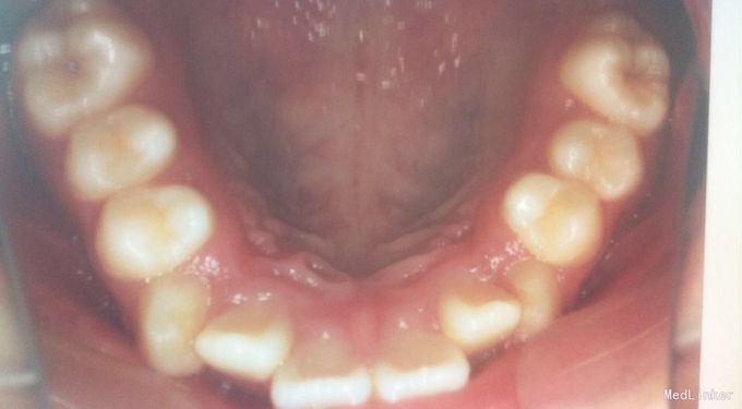
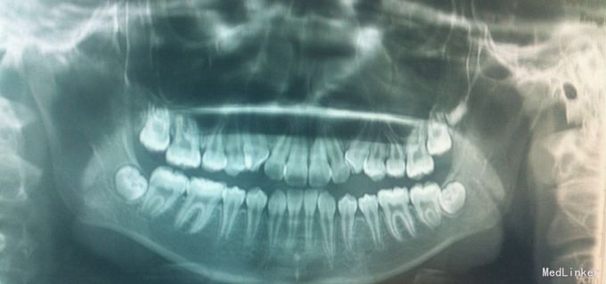
检查:恒牙期 右侧磨牙远中关系,左侧磨牙中性关系 前牙一度深覆合,正常覆盖 32、42未见 13、23唇侧错位 张口型异常 中线左偏约2mm 口腔卫生一般 X线未见32、42牙胚,28、38、48牙胚存在

诊断 处理

诊断:安氏三类,先天缺牙 处理:拔牙矫治,直丝弓矫治器,拔除15、25,排齐整平上下牙列,关闭拔牙间隙,矫治后磨牙中性关系,前牙覆合覆盖正常,维持现有面型。

随访 讨论

21牙X线示牙根较短,注意受力,防止松动脱落

发布于 15-10-15 13:47

0 个评论

暂无评论
发送