打开应用

后牙反合 安氏三类

罗医师   四川大学华西口腔医院

主诉 病史

女 18y 主诉:牙齿不齐

查体 辅查

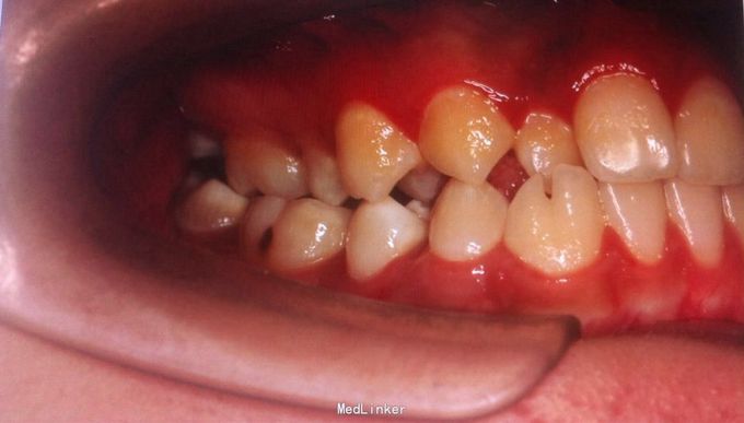
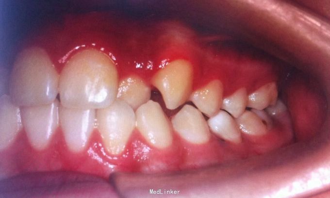
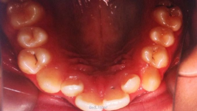
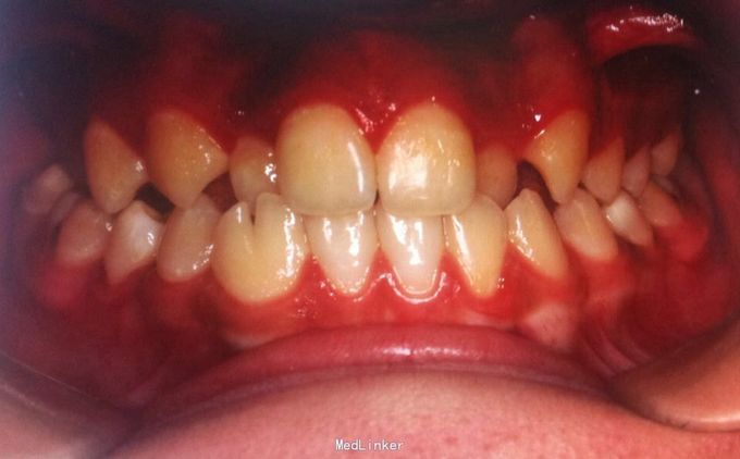
恒牙期 左右磨牙近中关系 12,22舌侧错位 32、33融合牙 右侧磨牙反合 上下牙列轻度拥挤 关节有弹响

诊断 处理

安氏三类、后牙反合 不拔牙矫治,直丝弓矫治器,排齐整平上下牙列,解除后牙反合,矫治后覆合覆盖正常,磨牙中性关系,维持现有面型

随访 讨论

治疗中可能需片磨上牙(下颌融合牙引起bolton指数不调)

发布于 15-10-26 11:15

4 个评论

发送