打开应用

外院转诊 安氏三类

罗医师   四川大学华西口腔医院

主诉 病史

主诉:牙齿不齐 发现牙齿畸形,现于外院正畸治疗,患者家长述原计划为推磨牙向后排齐牙齿,现因患者上学地变动,要求来我院矫治

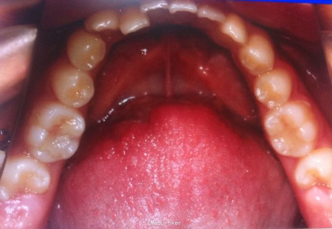
查体 辅查

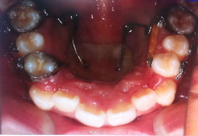
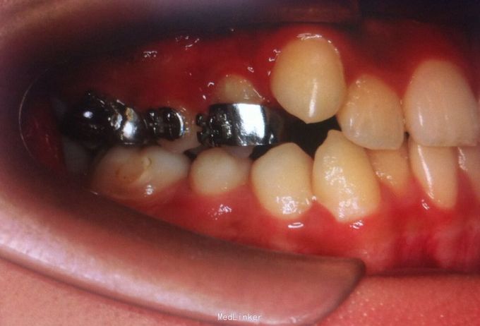
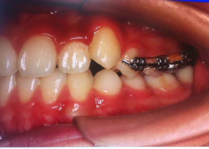
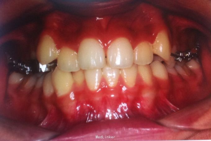
恒牙期 口内见摆式矫治器 左侧磨牙近中关系,右侧中性关系 前牙覆合覆盖正常 中线不正 上下牙列拥挤 张口度正常 关节有弹响 开口型异常

诊断 处理

安氏三类 拆除摆式矫治器,清洁牙面,直丝弓矫治器,排齐整平上下牙列,矫治后磨牙中性关系,前牙覆合覆盖正常,维持现有面型

随访 讨论

1、在治疗过程中根据面型可能需要片磨上下牙 2、18、28、38、48牙胚存在,必要时拔除

发布于 15-11-16 11:05

6 个评论

发送