打开应用

乳房外paget病1例

伍医师   上海市第一人民医院

主诉 病史

男,64岁,阴囊红斑1年

查体 辅查

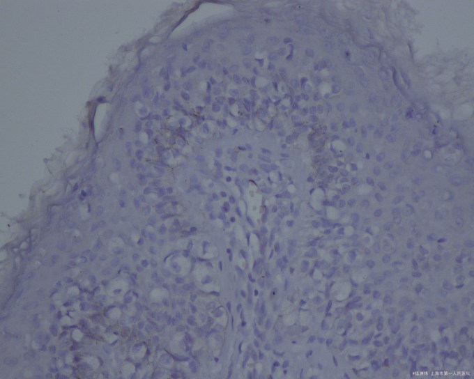
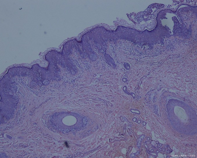
表皮内有不等量的Paget细胞,有时可见核被挤压在细胞的一边呈印戒状。在表皮附属器,特别是毛囊或外泌汗腺导管的上皮内也能见到Paget细胞,并能侵犯真皮,这与乳房Paget病不同。乳房外Paget病的Paget细胞含涎粘蛋白、耐淀粉酶和耐透明质酸酶,故对PAS、阿新蓝(pH 2.5)可呈阳性。免疫组化显示Paget细胞对癌胚抗原、顶泌汗腺上皮抗原均呈阳性,雌激素受体和孕激素受体阳性者较低,与乳房Paget病明显不同

诊断 处理

诊断: 乳房外paget病 治疗:手术切除 光动力治疗

随访 讨论

原因 原发性乳房外Paget病的起源目前仍有争论,以往认为Paget细胞来源于汗腺癌沿导管上皮向表皮蔓延,但发现表皮及附属器的病变为多灶性起源,真皮内浸润来自表皮而非导管及腺体结构。免疫组化结果支持顶泌汗腺起源,推测它可能起源于顶泌汗腺导管开口部细胞,或是表皮内向顶泌汗腺分化的多潜能细胞。继发性乳房外Paget病的表皮病变常由深部直肠、子宫颈或膀胱癌扩展而来。 病理生理变化 表皮内有不等量的Paget细胞,有时可见核被挤压在细胞的一边呈印戒状。在表皮附属器,特别是毛囊或外泌汗腺导管的上皮内也能见到Paget细胞,并能侵犯真皮,这与乳房Paget病不同。乳房外Paget病的Paget细胞含涎粘蛋白、耐淀粉酶和耐透明质酸酶,故对PAS、阿新蓝(pH 2.5)可呈阳性。免疫组化显示Paget细胞对癌胚抗原、顶泌汗腺上皮抗原均呈阳性,雌激素受体和孕激素受体阳性者较低,与乳房Paget病明显不同。 症状体征 本病大多好发于男性,女性少见。常发生于50岁以上,病程缓慢,病期半年至十多年。其损害好发于顶泌汗腺分布部位,如阴囊、阴茎、大小阴唇和阴道,少数见于肛周、会阴或腋窝等处。大多为单发,少数多发,同时发生于两个部位者更少见,极少数患者可伴发乳房Paget病。乳房外Paget病可继发于腺癌的扩展,如从直肠到肛周区,从宫颈到女阴区,从膀胱到尿道、龟头或腹股沟区等。另一方面,长期在生殖器部位的乳房外Paget病可侵犯宫颈或泌尿道。损害如同乳房Paget病,呈界限清楚的红色斑片,大小不一,边缘狭窄,稍隆起,呈淡褐色,中央潮红、糜烂或渗出,上覆鳞屑或结痂,有时呈疣状、结节状和乳头瘤状,自觉有不同程度的瘙痒,少数有疼痛。 诊断检查 对50岁以上老年人发生在外生殖器部位或肛周长期不愈的湿疹样皮肤损害,特别是边缘明显者,应提高警惕,活检可以明确诊断。 治疗方案 首选手术切除,可用Mohs外科技术。若损害较大,累及腹股沟和肛周时,需作植皮术。继发性乳房外Paget病应对原发病作相应处理。复发病例可再次手术切除。

发布于 16-01-11 10:54

21 个评论

发送