患者为 82 岁性日本妇女,2012 年 9 月就诊,6 年前起出现枕部脂溢性斑红斑,境界不清,无不适。患者曾外用糖皮质激素,诊断脂溢性皮炎后应用抗真菌药物,治疗无好转。
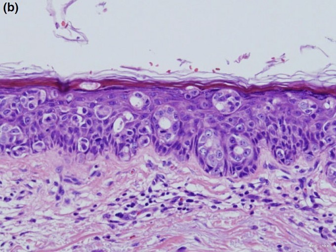
查体:枕部红斑,边界欠清,部分脱色性鳞屑性斑片中见轻度脱发(图 1)。余部位皮肤及浅表淋巴结未见异常。既往史及家族史无特殊。 辅查:皮损中部活检后组织病理:表皮内大量散在或成巢的大细胞,细胞质透明,核非典型。这些非典型细胞部分浸润于附件,而无真皮受累(图 2a)。部分细胞成管状细胞巢,部分管状结构内层细胞可见断头分泌至管腔(图 2b)。 非典型细胞免疫组化:过碘酸 - 希夫染色、阿辛蓝染色、癌胚抗原、雌激素受体、雄激素受体、细胞角蛋白 -7、细胞角蛋白 -20、囊泡病液体蛋白 -15 阳性(图 3a-e),AE 1/3 阳性;p63、黄体酮受体、S-100 蛋白及 HMB-45 阴性。腹部超声、CT、胸片及 PET-CT 等检查未见其他异常。




诊断:头部异位性乳房外paget病 治疗:皮损大约 85 mm×50 mm,经穿刺活检证实病变呈惰性后,在病变边界外的 2 cm 处进行切除,并取患者背部皮肤植皮覆盖。术后 14 月,PET-CT、CT 及临床查体未见复发及远处转移。
EMPD 分为原发性及继发性两类,后者由内脏恶性肿瘤直接扩散所致,如直肠癌及肛门癌。异位性 EMPD 是发生于无顶泌汗腺部位的疾病,除了肛周、生殖器及腋窝外,其他部位 EMPD 仅有 30 例报道。 头部异位性 EMPD 的 Paget 细胞可能起源于胚胎生殖细胞。EMPD 组织病理学诊断应与其他细胞胞浆透明的斑疹性表皮恶性肿瘤鉴别,如浅表扩散性黑素瘤及恶性雀斑样痣,后两者的表皮标志阴性,而黑素细胞标志(S-100 蛋白、Melan A 及 HMB-45 等)阳性。另外,p63 基因可用于鉴别鲍恩病 paget 样变型。 DOI: 10.1111/ijd.13018