下载或打开 医联APP 查看完整评论
立即下载
打开APP
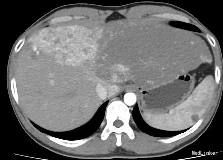
患者男,41岁,主因“发现肝血管瘤十年,上腹胀半月。”以“1.肝血管瘤 2.过敏性紫癜 ”收入院。 患者2005年体检发现肝脏多发血管瘤,最大病灶位于左叶约4.5*1.5*2.5cm,到外院就诊,建议继续观察病灶变化,患者自服中药保守治疗。之后,患者每年规律复查,2010年复查发现肝血管直径增大至10cm,患者自觉无异常不适,未及时就医治疗。半月前患者因与人冲突,上腹部受拳击后,感上腹部胀,遂到当地医院就诊。2015-11-25在外院行肝CT增强提示:肝脏内多发血管瘤,最大病灶位于左叶10.5*25.4cm,脾稍大。目前患者为求进一步手术治疗,遂来我院就诊
见病史

肝血管瘤 手术切除
术后恢复可