打开应用

肝血管瘤

周医师   北京京民医院
血管瘤 肝血管瘤

主诉 病史

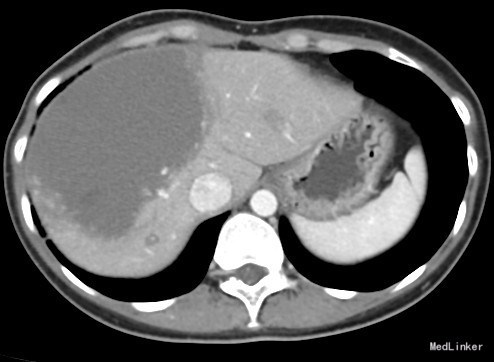
患者女,30岁,主因“发现肝血管瘤18天”以“肝血管瘤”收入院。 病例特点: (1)青年女性患者,慢性起病。 (2)患者18天前于单位体检时发现肝占位性病变,后到顺义区医院就诊,查腹部增强MRI报告:肝血管瘤可能,大小约10cm;脂肪肝;肝囊肿(患者自述,未见报告)。为求进一步治疗就诊我院,以"肝血管瘤"收住院。

查体 辅查

见病史

诊断 处理

肝血管瘤 剖腹探查,肝血管瘤剥除术

随访 讨论

术后恢复可

发布于 15-12-23 22:15

0 个评论

暂无评论
发送