打开应用

肝血管瘤

兰医师   北京京坛医院
血管瘤 肝血管瘤

主诉 病史

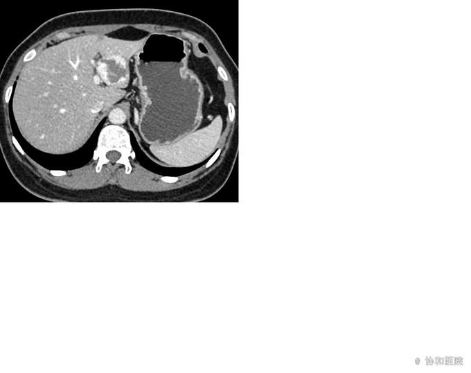
女,46岁, 主诉:体检发现肝占位性病变10年 现病史:患者于2005年6月8日在秦皇岛市第一医院体检,自述行腹部超声示:肝内低回声,考虑血管瘤可能,大小约为3.5×2.2cm(未见报告)。患者无腹痛、腹胀,无纳差、黄疸,无恶心、呕吐等不适,未予特殊治疗。2013年10月10日在当地医院复查腹部超声示:肝内低回声,大小约为3.6×2.6cm。近2年来,患者多次行腹部超声、CT及肝脏造影检查,均提示肝占位性病变,考虑肝血管瘤,逐渐增大。2015年7月7日再次于秦皇岛市第一医院体检,行腹部超声示:肝内低回声,考虑血管瘤可能,大小约为5.3×3.2cm。现患者为进一步明确诊断,积极、合理治疗,来我院门诊就诊,以“肝占位性病变”收治入院。

查体 辅查

腹部超声(2015-7-7,秦皇岛市第一医院):1、肝左叶低回声,考虑血管瘤,大小5.×3.2cm。2、脂肪肝。3、肝囊肿。

诊断 处理

肝血管瘤 手术切除

随访 讨论

肝血管瘤是一种较为常见的肝脏良性肿瘤,临床上以海绵状血管瘤最多见,病人多无明显不适症状,常在B超检查或在腹部手术中发现。本例为体检发现。所以,体检很重要!!

发布于 15-09-22 20:44

1 个评论

发送