打开应用

VHL综合征一例

毛医师   中山大学附属第三医院

主诉 病史

患者男,27岁。发现双肾囊肿1年。 患者1年前因“胸椎T5血管母细胞瘤”外地住院手术,术前彩超发现双肾囊肿、右肾错构瘤,现患者为求进一步诊疗来我院门诊,门诊行中腹部CT考虑VHL综合征收住我科。

查体 辅查

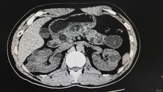
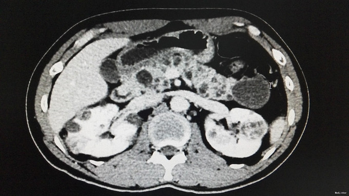
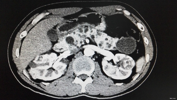
查体:背部后正中线上长7cm手术瘢痕。双肾区无红肿、隆起,左肾区压痛、叩痛,右肾区无压痛、叩痛,左肋脊点、肋腰点压痛,右肋脊点、肋腰点无压痛。左侧上中输尿管点压痛,右侧上中输尿管点无压痛,膀胱区无压痛。辅查:门诊CT示:1、胰腺多发囊肿,双肾多发肾癌,双肾多发囊肿,考虑VHL综合征。2.肝S2/4异常强化灶,考虑异常灌注。家族史:父亲肾癌去世。

诊断 处理

诊断:VHL综合征

随访 讨论

VHL综合征就是“Von Hippel-Lindau综合征”的简称,即CNS血管母细胞瘤合并肾脏或胰腺囊肿、嗜铬细胞瘤、肾癌以及外皮囊腺瘤等疾病。 VHL综合征是一种罕见的常染色体显性遗传性疾病,疾病是因位于染色体3P25.3的VHL抑癌基因发生突变所致。VHL的临床表现和症状包括血管瘤、血管母细胞瘤、嗜铬细胞瘤、肾细胞癌,胰腺囊肿(胰腺浆液性囊腺瘤)以及咖啡牛奶斑。VHL综合征患者平均寿命不超过49岁。其主要死亡原因是中枢神经系统血管母细胞瘤破裂出血、肾细胞癌和嗜铬细胞引起的恶性高血压。本例患者脊髓血管母细胞瘤,肾脏或胰腺囊肿,肾癌,结合家族史诊断VHL基本明确。 治疗上,中枢神经病变根据部位行手术或X刀、伽玛刀治疗。嗜铬细胞瘤应手术切除。肾细胞癌的治疗与散发性肾细胞癌有所不同,由于前者常为双侧多发,肿瘤生长较慢,转移较晚,故即使为单侧肾癌,也应尽量行保留肾单位的肿瘤切除手术,因为对侧也有在今后发生肾肿瘤的可能。多年临床观察发现,双侧全肾切除会诱发或加快其它部位的VHL肿瘤的生长,主要认为是由于移植术后的免疫抑制治疗和应用透析的结果。VHL综合征胰腺囊肿无恶变倾向,应不予处理。 VHL基因突变的人群携带率估计为3/10万左右,外显率接近100%。其遗传特征为常染色体显性方式,子女有50%机率发病,故对其子女也应严密随访。

发布于 15-12-23 11:40

9 个评论

发送