打开应用

VHL综合征

邓医师   黔东南州人民医院
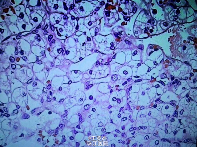
肾透明细胞癌 肾囊肿

主诉 病史

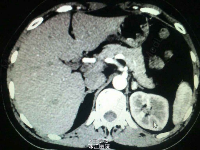
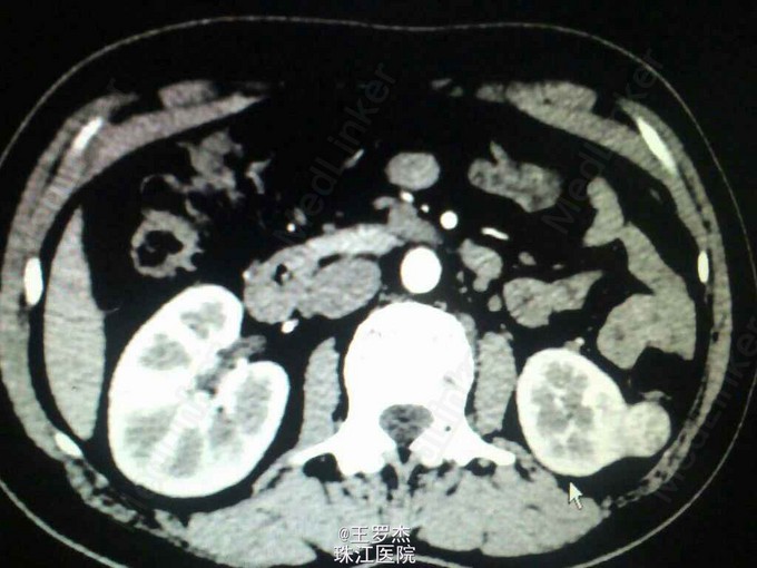
主诉:发现左肾及肾上腺占位3年 患者3年前因VHL综合征行常规体检时CT提示左肾低密度结节影,边界模糊,大小1.2x1.5cm,左肾上腺类圆形结节影,大小0.8x1.0cm,增强扫描明显强化。 既往史:12年前"因视力下降9年,间断性头痛2月"在我院住院,行视右侧小脑半球及左额血管母细胞瘤切除术,左侧视网膜母细胞瘤激光治疗。 家族史:家族多人确诊为VHL综合征。

查体 辅查

查体:体温36.8℃,呼吸19次/分,脉率79次/分,血压132/82mmHg。左眼白瞳,视力仅光感,胸腹部查体未见异常。 实验室检查:皮质醇(8:00)519nmol/L,皮质醇(16:00)183nmol/L,24小时游离皮质醇1131nmol/L。 辅助检查:CT提示左肾结节影较前增大,2.9x2.3cm,明显强化。

诊断 处理

术前诊断:左肾癌,嗜铬细胞瘤。 由于不典型嗜铬细胞瘤可表现血压正常,为减少手术风险,术前给予利脉和陪他洛克,监测血压心率。3周后血压控制平稳,完善检查后进行手术。 腹腔镜下肾上腺切除术+肾部分切除术+左肾囊肿去顶减压术。术后诊断:左肾透明细胞癌,左肾上腺结节状增生。

随访 讨论

VHL综合征是罕见的常染色体显性遗传肿瘤综合征。主要表现为中枢神经系统和视网膜血管母细胞瘤及内脏良恶性肿瘤或囊肿。肾透明细胞癌也常见,但不适宜根治性肾切除,因为是多器官肿瘤,双侧肾脏都可能大病,根治切除只会加速透析的进程,生活质量低,而因其肾脏存在多数微小癌灶或者即将恶变的病灶,部分切除后仍需要定时检查。及早发现,一般认为大于3cm可行手术部分切除。有人认为vHL患者肾囊肿有可能发展为肾癌,但一般只需去顶减压,不宜过度治疗。

发布于 15-06-21 00:10

3 个评论

发送