打开应用

前牙散在间隙 安氏一类

罗医师   四川大学华西口腔医院

主诉 病史

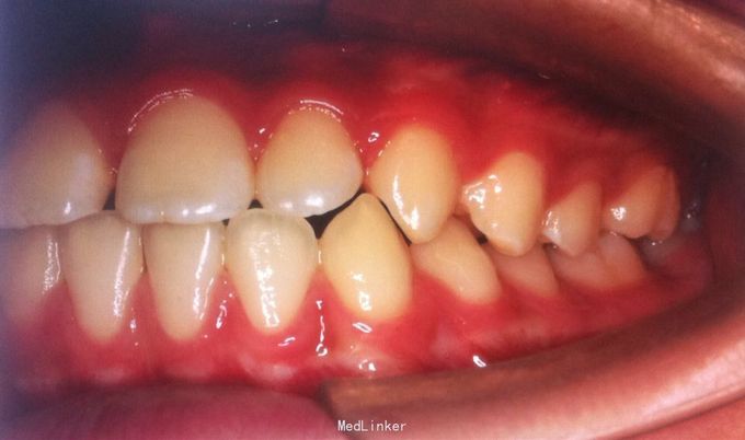
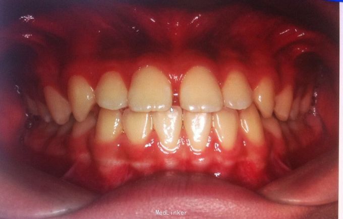
主诉:牙列间隙

查体 辅查

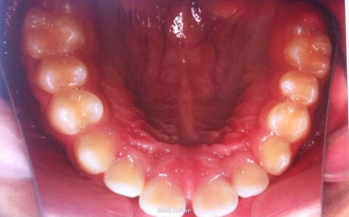
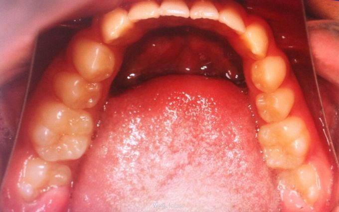
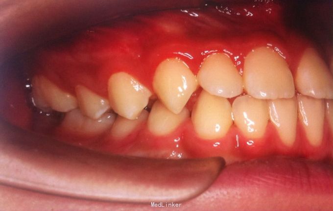
恒牙期 磨牙中性关系 前牙覆合覆盖关系正常 A1B1之间1mm间隙

诊断 处理

安氏一类 不拔牙矫治,直丝弓矫治器,排齐整平上下牙列,关闭前牙散在间隙,矫治后磨牙中性关系,前牙正常覆合覆盖,维持现有面型

随访 讨论

18、28、38、48存在,必要时拔除

发布于 15-11-11 23:02

8 个评论

发送