打开应用

牙齿不齐、安氏一类

罗医师   四川大学华西口腔医院

主诉 病史

主诉:牙齿不齐 发现牙齿畸形,未曾正畸治疗,否认家族遗传史

查体 辅查

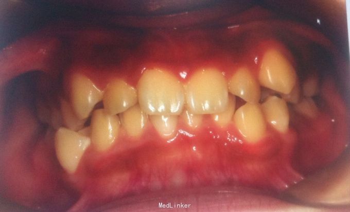
恒牙期 33,44唇侧错位 磨牙中性关系 前牙覆合2度、覆盖1度 牙列拥挤

诊断 处理

牙列拥挤、安氏一类 拔牙矫治,拔除14、24、34、44(强支抗)排齐整平上下牙列,直丝弓矫治器,关闭拔牙间隙,矫治后前牙覆合覆盖正常,磨牙中性关系,面型略改善

随访 讨论

18.28.38.48牙胚存在,必要时拔除

发布于 15-10-22 14:08

9 个评论

发送