打开应用

锁合 安氏一类

罗医师   四川大学华西口腔医院

主诉 病史

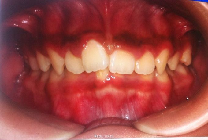
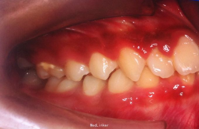
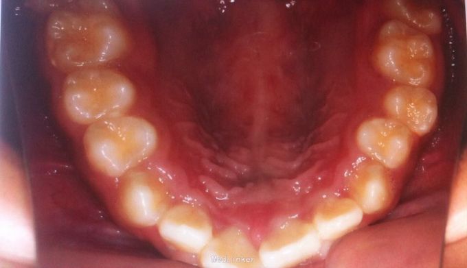
男11y 牙齿不齐,要求正畸

查体 辅查

恒牙期 25正锁合 磨牙中性关系 前牙一度深覆盖深覆合 牙列拥挤 张口型异常

诊断 处理

安氏一类 不拔牙矫治,直丝弓矫治器,排齐整平上下牙列,治疗后前牙覆合覆盖正常,磨牙中性关系,维持现有面型

随访 讨论

面型略凸,若需改善面型,需在治疗中拔除四颗双尖牙

发布于 15-10-30 22:07

4 个评论

发送