下载或打开 医联APP 查看完整评论
立即下载
打开APP
打开应用
腹膜种植转移癌,原发灶常见于那些部位?
曹医师
中山大学附属第三医院
癌
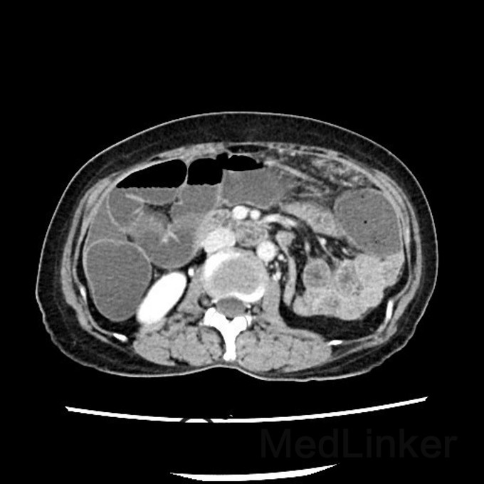
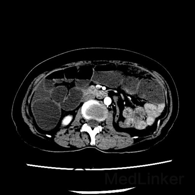
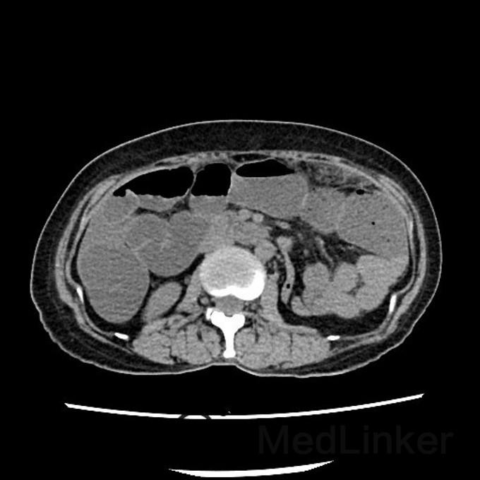
问题:患者女,50岁,因腹胀而就诊,遂行胸腹CT,提示:腹部大网膜、小网膜区脂肪间隙模糊,腹膜增厚,可见片絮状、小结节状软组织密度影,增强扫描见轻度强化。考虑转移癌可能性大。后行大网膜活检,病理结果提示:低分化转移癌。但全身PET/CT未见原发灶,此种情况下,常考虑原发灶在那些部位,以及进一步做什么检查?
发布于 15-10-15 22:40
打开医联APP阅读全文
医联推荐你看
有哪些情况,原发肿瘤发生了远处转移,但还是可将原发灶与转移灶一并切除?
原发性肝癌常见的转移部位?
原发灶不明的转移癌诊断
共
9
个评论
查看更多评论
发送
0