打开应用

右下前牙区骨增量治疗一例报告

赵医师   暨南大学附属第一医院
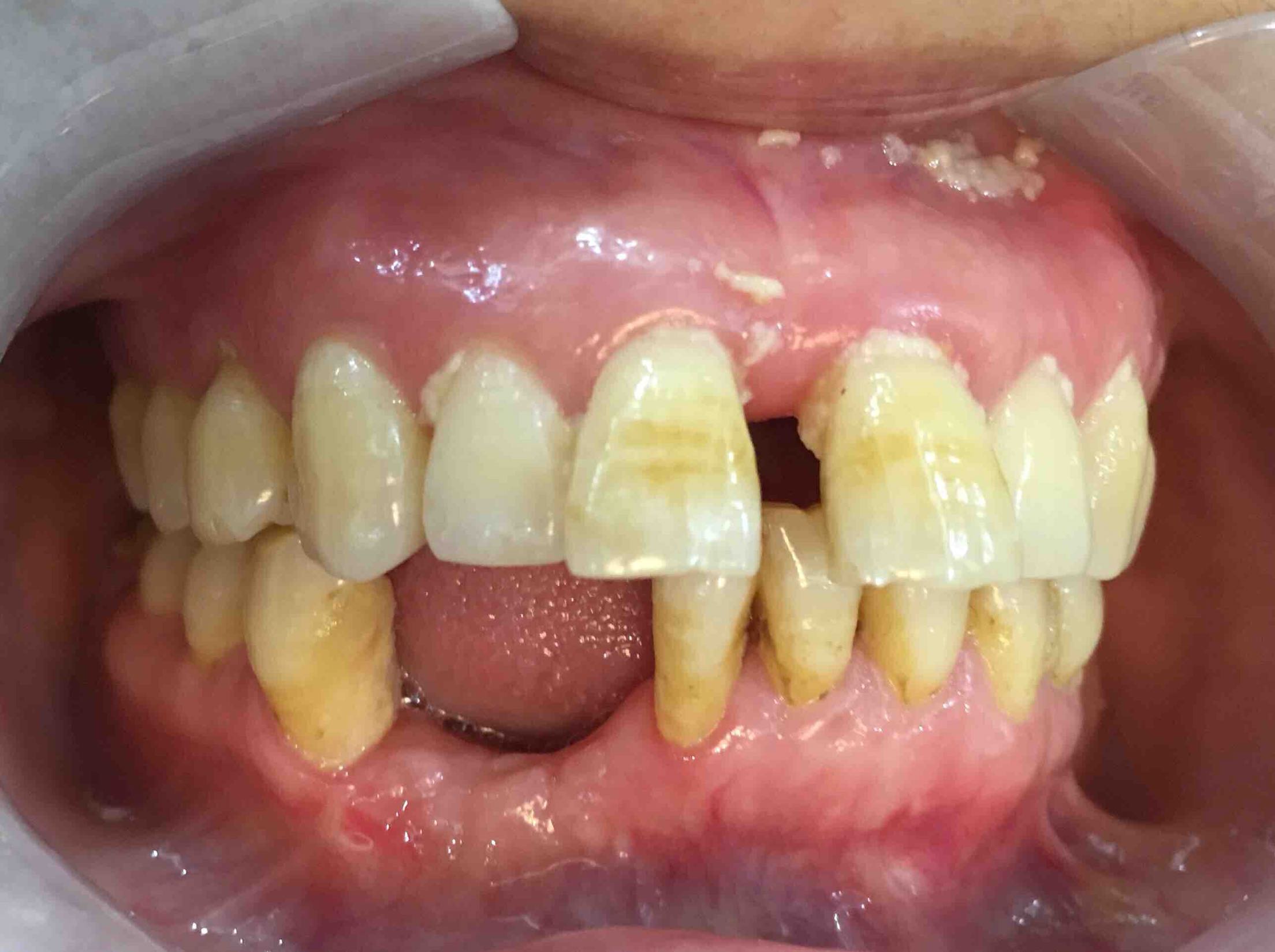
单颌牙列缺失

主诉 病史

患者要求拔除松动牙,种植修复!

查体 辅查

41、43、44牙松动2-3度,42牙缺失,全景片及CBCT显示牙槽骨吸收严重。

诊断 处理

拔除41、43牙

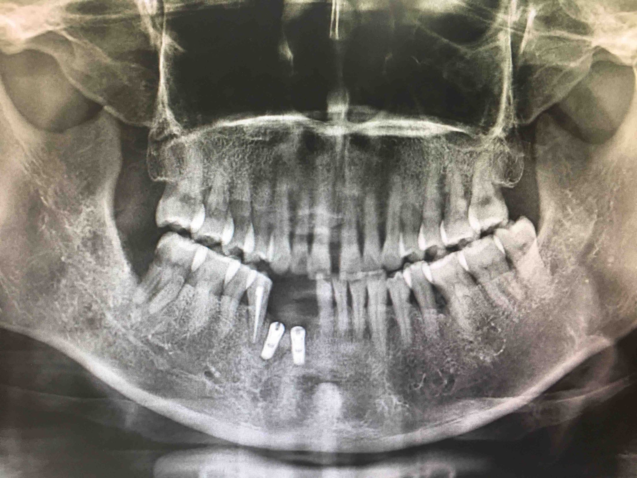
两周后,局麻下,翻瓣拔除44牙,在41、42根方环形钻取骨块,钛钉固定于43牙骨缺损处,Bio-ss骨粉0.25g,海奥生物膜,严密缝合!嘱半年后植牙!

植入42、44登腾3.4-10两枚植体

三个月后,牙龈成型前,口内照,未完待续……

发布于 17-06-15 23:51

21 个评论

发送