患者,男,37岁,因“右小腿红斑、结节13年,加重1年”来我科就诊。患者13年前右小腿外伤,愈合后原伤处出现一质硬结节,10余年来,皮损逐渐扩大凹陷,变硬。1年前,左小腿出现一大小约3cm×4cm肿块,无明显自觉症状。既往体健。否认家族遗传病史。
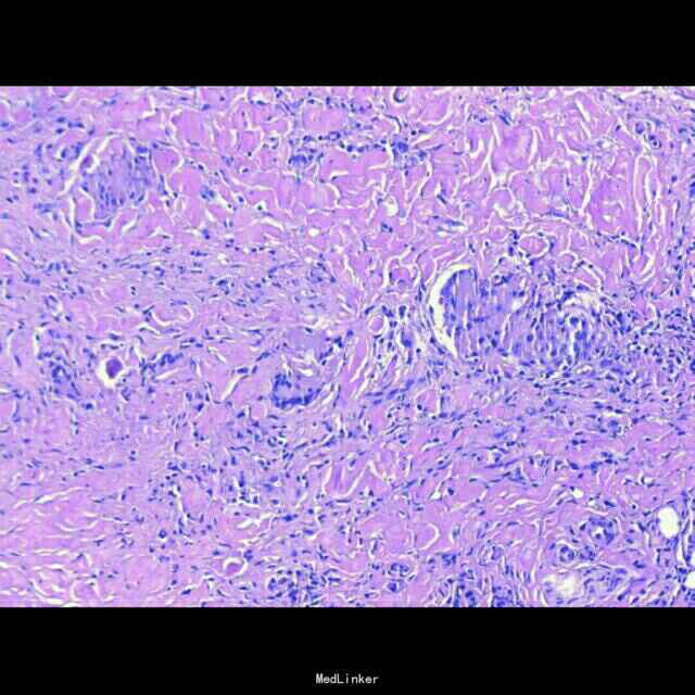
皮肤科情况:右小腿可见一卵圆形斑块,边界清楚,表面光滑,质硬。中央萎缩凹陷,表面见毛细血管扩张、鳞屑。边缘高起呈紫红色。左小腿可触及一大小约3cm×4cm的肿块,质硬。 实验室检查,未见异常。病理检查:左小腿:皮下组织为硬化胶原所替代,可见大量组织细胞形成的团块。右小腿:表皮变薄,表皮突变平消失。真皮中下部广泛的胶原变性,大量组织细胞穿插于胶原间,部分呈团块状分布。




诊断:类脂质渐进性坏死。左小腿肿块处给予曲安奈德局部封闭,右小腿斑块处外用卤米松软膏,2次/日。环孢素A,50mg口服,2次/d,复方丹参片0.9g,3次/d。2周后左小腿肿块消退。1月后右小腿斑块变软。后将环孢素逐渐减量,目前仍在随访中。
类脂质渐进性坏死( necrobiosis lipoidica, NL)是一种代谢障碍性疾病。其病因不清,与糖尿病的确切关系目前仍不清楚。典型皮损为小腿胫前片状硬皮病样斑块。该病组织病理特点是胶原纤维变性广泛,位置深,可达真皮中下层,表现为真皮肉芽肿性炎症,胶原变性形成渐进性坏死灶和硬化,炎细胞主要是组织细胞、淋巴细胞、多核巨细胞和浆细胞,组织细胞在胶原变性区边缘排列成栅状。皮下脂肪受累表现为间隔性脂膜炎。根据其病理特点可分为:渐进坏死型和肉芽肿型。本病例为中年男性,发病前有外伤史,临床表现与组织病理均与之符合。血糖阴性。诊断明确。本病应与局限性硬皮病、硬红斑、环状肉芽肿等病相鉴别。 类脂质渐进性坏死的治疗较为困难,目前尚无标准的治疗方案。主要为外用糖皮质激素,其他如系统使用糖皮质激素、环孢素、PUVA疗法、脉冲激光、己酮可可碱、烟酰胺、局部应用生长因子以及皮肤移植等方法对本病有一定的疗效。本例患者使用环孢素联合激素治疗,疗效较明显,未见明显不良反应,可以给临床治疗提供参考。