下载或打开 医联APP 查看完整评论
立即下载
打开APP
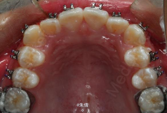
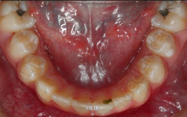
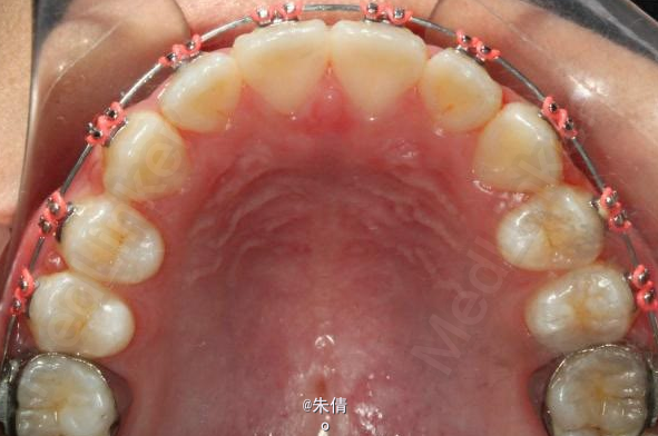
对于面型较好,拥挤度不大的病例,推磨牙向后不失为一种很好的方法,当然现在推磨牙后向的手段和方法很多,但是主要 是适应证的问题。我认为我们在做推磨牙向后,首先是考虑拥挤度,第二个要考虑的是现有的面型,第三点也是很重要的一点,是考虑牙弓后段拥挤度,Tweed-Merryfireld拥挤度的诊断方法将牙弓拥挤度分析分为三段,牙弓前段拥挤度,牙弓中段的拥挤度,以及牙弓后段的拥挤度。不管用什么方法或是手段推磨牙向后,一定不能将牙弓前端矛盾移到牙弓中段或是后段。今天给大家看一直面型,拥挤度不是很大推磨牙向后的病例。希望对大家能有所帮助。

















