下载或打开 医联APP 查看完整评论
立即下载
打开APP
患者女性,60岁。发现盆腔包块月余。
CT示中下腹巨大占位伴腹腔积液。实验室检查:CA125:98.3 U/ml,CA19-9:94.94U/ml。
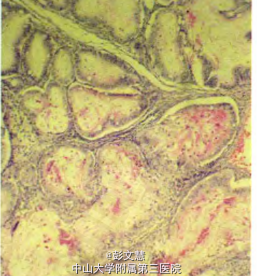
术中见左卵巢巨大占位,行全子宫+双附件切除术。病理检查:成熟性畸胎瘤成分和恶性腺癌成分共存。畸胎瘤成分以外胚层组织为主,可见分化成熟的表皮、皮肤附件、脂肪组织等;恶性腺癌成分呈明显的浸润性生长,异型性中等,核分裂象可见但不多(<3个/HPF),可见大量肿瘤性坏死,形态上部分显示肠黏膜上皮样分化,但难以分辨确切的组织来源。免疫组化:肿瘤细胞CK、CK7和CK20(+),irdlibin和S—100为(-)/(+),CAl25、HCG、CDl0和vimentin(-).KiJ67阳性率为30%。病理诊断:左卵巢畸胎瘤癌变(腺癌)。


畸胎瘤是卵巢常见的单胚层或三胚层生殖细胞源性肿瘤,分化成熟者一般属于良性范畴,多见于育龄期女性。恶变瘤大多数发生于绝经期女性,恶变率2%~4%,年龄对于畸胎瘤恶变有一定意义,>50岁者发生率较高且总体预后较差。患者查体未发现肠道肿瘤,且卵巢表面光滑无种植性成分,CA125和CA199升高,可以除外肠癌转移。转自《诊断病理学杂》DOI:10.3969/j.issn.1007—8096.2013.02.022