下载或打开 医联APP 查看完整评论
立即下载
打开APP
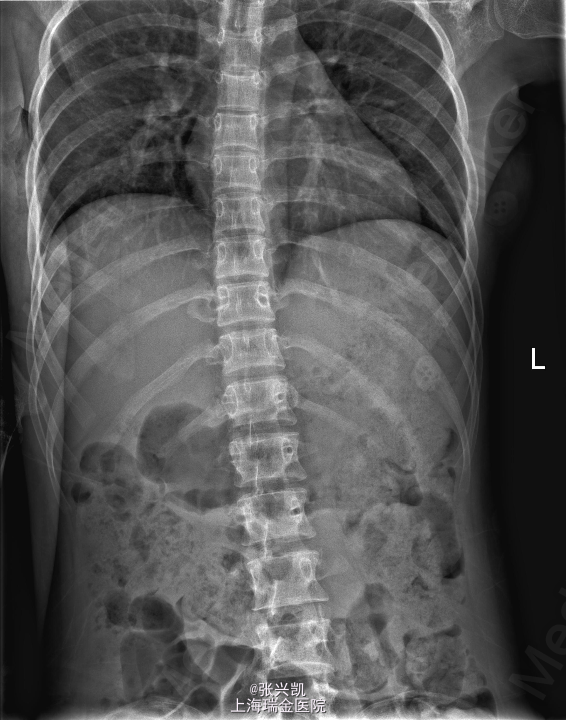
主诉:一天前不慎跌倒,背部着地,后觉背部疼痛,活动障碍 现病史:患者1日前跌倒致背部疼痛,活动障碍。背部无肿胀,呼吸均匀,双下肢无麻木,疼痛,小便正常,鞍区感觉正常。
检查:腰背部叩痛,压痛明显,脊柱无侧弯,双下肢肌力及感觉正常,膝腱反射等存在,巴氏征(-)。 辅助检查:X线平片示:T11,L椎体骨折 头颅CT及肋骨CT示:T11椎体,左侧横突及椎弓,及L1椎体骨折 MR:T11,L1椎体新鲜骨折


诊断:多发胸腰椎骨折(T11,L1) 处理:胸腰椎骨折经皮椎弓根钉复位内固定术,一年后骨折愈合良好,行内固定装置取出术


随访:术后三月复诊,内固定装置位置良好,患者腰背痛症状缓解,一年后骨折愈合,行内固定装置取出。术后患者腰部活动良好 讨论:术后应积极锻炼腰背部肌肉,防止萎缩。

