打开应用获得性甲周纤维角化瘤
皮肤性病科徐宏俊 | 颜值科学社
孙医师

中国人民解放军第四七四医院
主诉 病史
67岁,女性,左足踇趾根部肤色赘生物5年余,否认外伤史,未治疗。自诉无明显不适,未出现破溃及出血。皮疹逐渐增大,变长。高血压病史20年余,目前血压服药控制尚可。余无特殊不适。
查体 复查
查体:左足踇趾根部可见约0.3×0.8cm肤色赘生物,于底部可以一蒂样结构,质地稍韧,表面光滑,未见破溃结痂。
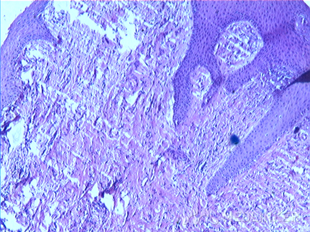
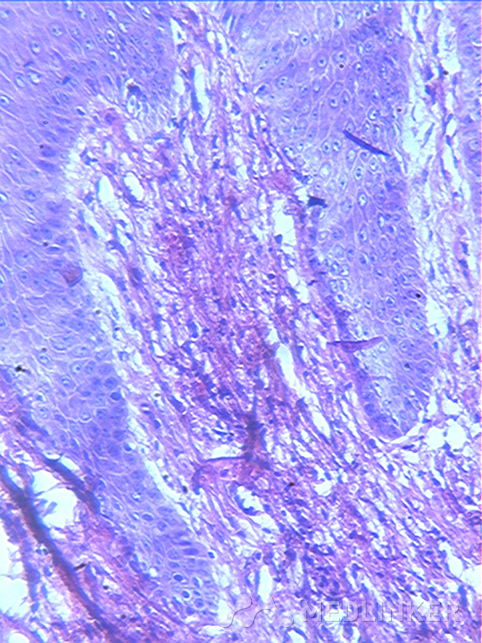
组织病理:角化过度,表皮增生,真皮乳头可见胶原增生与表皮排列垂直分布,真皮浅层血管周围少量炎细胞浸润。
诊断 治疗
诊断:获得性甲周纤维角化瘤。
治疗:手术切除。预后未见复发。
随访 处理
随访:该患者切除后2年,随访未见复发,其他部位也未出现类似皮疹。
讨论:获得性甲周纤维角化瘤临床表现,一般肿物长轴与侧甲沟走行一致,顶部角化,质硬,损害下甲板形成纵行凹陷.组织病理学活检提示:表皮角化过度,棘层肥厚,真皮可见大量增生的胶原纤维及成纤维细胞,增生胶原排列与表皮垂直分布。获得性甲周纤维角化瘤根据特征性临床表现及组织病理易被诊断,治疗以保留甲母质的外科手术切除为佳。需要与结节性硬化的甲周纤维瘤相区别。
相似病例推荐
获得性指( 趾) 部纤维角化瘤
2018-07-10阅读量:7010
获得性丛状血管瘤
2018-07-25阅读量:6504
获得性趾部纤维角化病一例
2015-10-30阅读量:2585

共0评论最早评论
没有更多数据了