打开应用右侧额叶占位出血
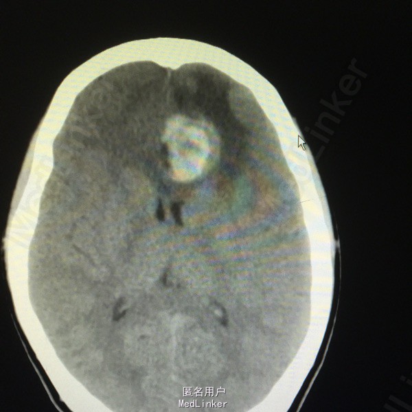
患者男,71岁。2周前无明显诱因出现双小腿困乏、记忆力下降、言语欠流利.未行特殊诊治。入院前3天出现夜间睡眠障碍,当地医院行头颅CT检查示:右额部类圆形占位性病变,密度略欠均匀,直径约5 cm。周围脑水肿.右侧侧脑室受压,中线结构略向左移。继而转来我院。
入院查体患者无发热,精神食欲较好,大小便正常,入院后系统查体其他部位未见明确异常。头颅MRI检查示:右侧额叶见一类圆形囊实性占位病灶,T1WI序列病灶囊性部分信号与脑白质信号相似,T2WI序列呈高信号,实性结节位于囊前外侧靠近脑表面呈短T1等T2信号,病灶境界尚清,外周环绕片状稍长T1长T2水肿信号,局部脑沟变浅消失。右侧侧脑室前角受压;增强示:右侧额叶病灶呈环形不规则强化,局部结节较大明显强化,病灶大小约为4.0 cm×4.2 cm×5.0 cm。
右侧额叶占位合并出血,考虑:胶质瘤中多形性胶质母细胞瘤或间变型星形细胞瘤,不除外脑转移瘤。
行右颅骨钻孔后用铣刀行骨瓣开颅,骨窗见脑膜张力高,脑搏动弱。额部硬脑膜颜色发黑。脑组织膨出骨窗约1 cm,右额脑表面有一直径约5 cm黑色区域,与周围脑组织分界清楚,脑室穿刺针向病变内的血肿腔内穿刺,见黑色陈旧性血肿流出,放出陈旧性血肿后脑组织张力下降,沿黑色病变组织与周围正常脑组织的边界分离,病变无包膜,与周围脑组织分界清楚,但是有交叉性生长,完整切除病灶及其周围约5mm的脑组织。
肉眼观黑褐色碎组织一堆,体积3 cm×3 cm×1.5 cm。镜观:瘤细胞片状位于硬脑膜下,瘤细胞圆形、梭形、多角形,瘤细胞沿血管方向生长,胞浆内富含棕黄色黑色素颗粒。免疫组化:Melan-A(+++)
,S-100(++)(图6),CK(-),EMA(-),P53(-),GFAP(-),NF-L+H(-),Ki-67瘤细胞核阳性指数约30%。右额叶:颅内原发性恶性黑色素瘤。随访:术后患者卧床至今,言语对答清楚。

学习啦
不错的病例
学习了,又增长了知识!
不错的病例,谢谢分享了
太好了
这个病例分析得很全面,涨知识了!
学习
学习了
学习
学习
谢谢分享
学习
学习了
谢谢分享
学习