打开应用下颌智齿低位埋伏阻生
口腔科
裴医师

河北省宁晋县医院
主诉 病史
患者,男,33岁,右下后牙区疼痛3个月于,曾服用抗菌消炎药,使用漱口水,用药时期,症状有所缓解。疼痛症状反复发作,前来就诊。既往体检,有烟酒嗜好。
查体 复查
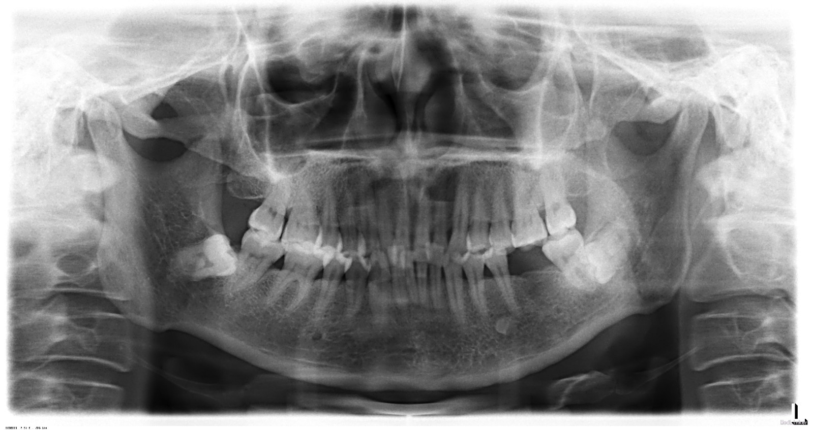
检查:口腔环境尚可,有轻微的牙结石覆盖于牙颈部位。48远中颊尖破龈萌出,冠周牙龈无急性炎性表现。
X线曲面体层片显示:48前倾低位埋伏阻生,牙冠近中部分嵌入47远中根部,48牙冠与47根部有明显线状透射影。诊断:48低位前倾阻生,47牙根吸收。
诊断 治疗
诊断:48低位前倾阻生,47牙根吸收。
治疗:建议1、先进行洁牙清洗,局麻下拔除47,待48自行向近中方向萌出移位。
建议2、48部分萌出后通过正畸牵引向47复位。
在患者知情同意下,行右侧下牙槽神经阻滞麻醉,常规挺松、拔除47,牙槽窝常规处理,创口缝合手术。
随访 处理
智齿埋伏引起第二磨牙远中根吸收的情况,分析原因可能是牙齿正常萌出过程,只不过牙胚在骨内发生了异常的移动,使萌出方向出现变化,导致相邻牙牙根受压,长时间出现吸收。
相似病例推荐
左上埋伏阻生智齿
2017-01-29阅读量:8578
上颌低位埋伏阻生
2018-06-07阅读量:5878
埋伏阻生齿
2015-11-24阅读量:5382

共5评论最早评论
高春娜
上海市东方医院
48能牵引到47的位置最好了。
2016-11-26 16:54
杨静语
空军军医大学口腔医学院
智齿的危害还是不容忽视的,及时拍片确认智齿位置并及时拔除很重要,该患者47的牙根吸收特别严重,已无法保留,很是可惜。
2016-11-28 17:04
刘晓可
四川大学华西口腔医院
这种情况的最佳治疗方案确实是拔除47,但是能否移动成功还要看后期的随访,拔除的时候注意47的隔板。
2016-11-29 15:03
孙逸然
空军军医大学口腔医学院
这个还挺严重的,智齿已经严重影响到磨牙的正常情况,47牙很难保留,可以考虑48牙当作47牙用。
2016-11-29 15:57
阿亮
感谢分享,这种病例比较常见,在临床中可以行47牙拔除,带48牙萌出后行正畸牵引或者移植至47牙。
2016-11-29 20:03
没有更多数据了