打开应用额顶叶脑梗塞一例
大内科
刘医师

安新和平医院
主诉 病史
患者,女性,53岁,主诉间断头晕20天入院。既往高血压病史3年,否认冠心病,糖尿病病史,无烟酒嗜好。于20天前出现头晕,平卧后起床时明显,无视力障碍,无肢体活动障碍,无视物旋转。自服降压药治疗无好转。


查体 复查
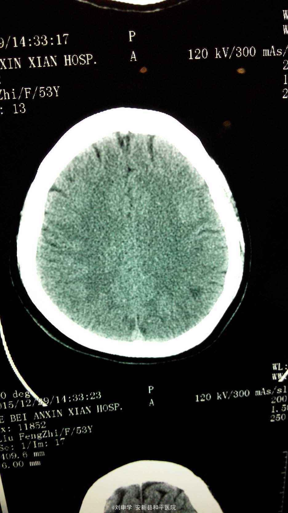
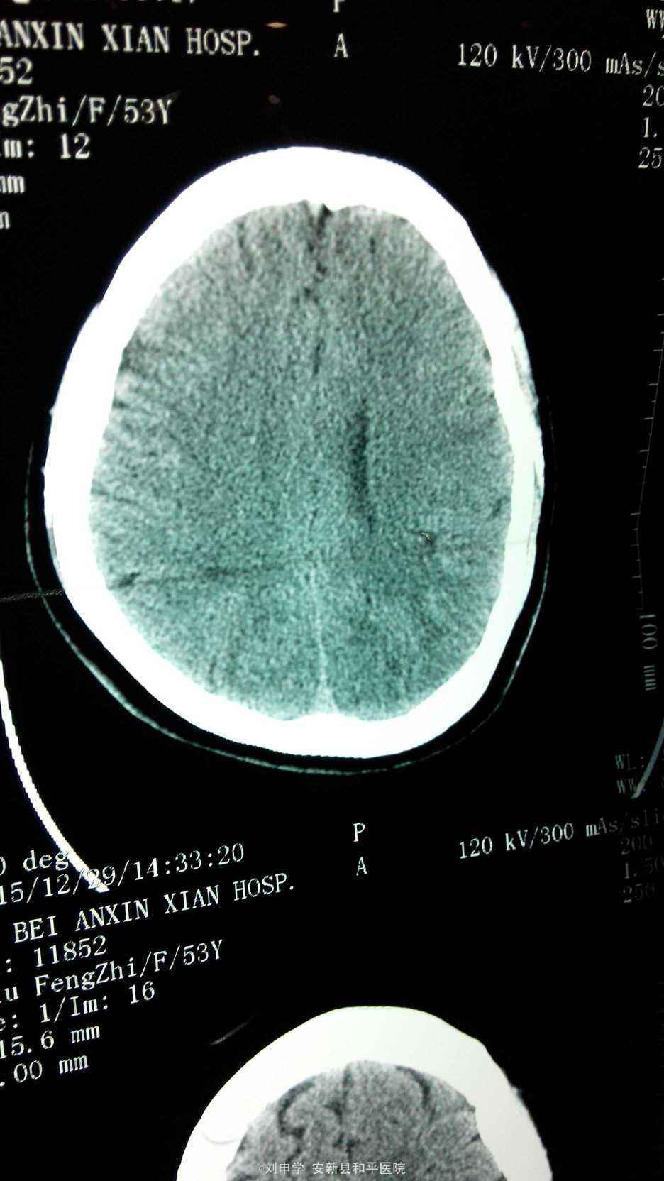
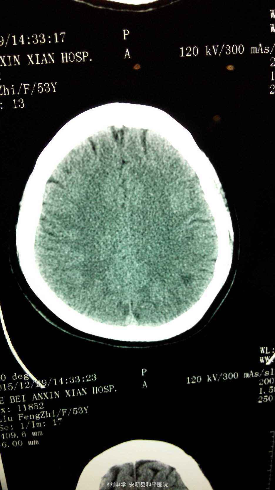
查体血压160/100mmHg, 神清,双侧瞳孔等大正园,对光反射正常,无偏盲,复视。心率56次./分,四肢肌力,肌张力正常,双巴氏征阴性。心电图:窦律心率56次/分。头颅CT提示左额叶顶叶脑梗塞。化验血脂正常。



诊断 治疗
入院初步诊断:1.脑梗塞,2.高血压。给予抗血小板,活血及营养脑细胞,调脂,降压等治疗。住院10天好转出院。
随访 处理
随访1月后,患者无头晕发作。提出问题是:这种症状不太严重患者,血压应控制在多少合适,对于血脂正常患者,需要长期调脂吗?
相似病例推荐
额顶叶急性脑梗塞
2018-08-22阅读量:5787
左侧额顶叶梗塞
2019-07-02阅读量:4822
左顶叶梗塞
2019-09-18阅读量:4230
共3评论最早评论
- 曾玮琪回复刘申学:对于脑梗塞急性期的病人通常把血压控制在160/90左右,不宜太低
吕孟澄
苍南县人民医院
血压控制在140/90就可以了。血脂的话,考虑动脉硬化引起的脑梗死的话。建议长期口服降脂药。
2015-12-30 13:37
刘申学
安新和平医院
血脂下降有标准吗?
2015-12-30 16:41
没有更多数据了