打开应用寻常狼疮一例
患者,女,38岁。右耳切除植皮术后7年,近1年出现红斑块、出血前来就诊。患者1年前右耳切除位置出现数个黄豆大小的红色丘疹,无痛痒,病变部位随后逐渐增大,破溃后形成溃疡,自行愈合后形成瘢痕。曾于外院诊断为湿疹,予以治疗,未见好转。患者无发热、盗汗、食欲减退、体质量减轻等症状;无咳嗽、胸痛,大小便无明显异常。既往身体健康,无食物、药物过敏史,否认有系统性疾病及慢性病史,否认家族成员有相似疾病史。
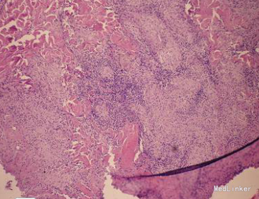
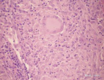
查体:一般情况良好,生命体征正常,全身浅表淋巴结未触及肿大,心肺及腹部检查无异常。皮肤科检查:右耳切除处见红褐色浸润性斑块,触之柔软,界限清楚,融合成大瘢痕。实验室检查:血常规、尿常规、肝肾功能均正常,胸部X线检查无异常;结核菌素试验强阳性(硬结直径超过20 mm)。血红细胞沉降率升高。皮损真菌培养阴性,快速血浆反应环状卡片试验(RPR)及梅毒螺旋体血凝试验(TPHA)均为阴性。皮损病理检查显示:表皮棘层肥厚,角化过度乳头瘤样增生,真皮浅层弥漫性淋巴细胞、中性粒细胞浸润。其中可见结节样的上皮样细胞和多核巨细胞,中央可见干酪样坏死。皮损分泌物通过分枝杆菌培养4周阳性,菌型鉴定为结核分枝杆菌。



诊断:皮肤结核寻常狼疮型。临床处理:2HRZE/7HRE。强化期:异烟肼,利福平,乙胺丁醇,吡嗪酰胺连用2个月。巩固期:异烟肼,利福平,乙胺丁醇,连用7个月。患者治疗1个月,斑块及溃疡明显缩小,颜色明显转暗,斑块开始变薄,抗结核治疗9个月后局部斑块全部变平,皮疹全部消失。
皮肤结核是结核分枝杆菌侵犯皮肤或其他脏器,结核病灶累及皮肤引起的皮肤损害,可迁延数年或数十年之久。如果治疗不及时,可能留下损毁性瘢痕。寻常狼疮是一种慢性进行性皮肤结核病,病程可长达数十年。病损常缓慢扩大,可波及大片皮肤,损坏鼻、耳、口唇、眼睑等处,形成瘢痕甚至毁容等。患者的皮损表现为孤立浸润性斑块及结节,结合皮损组织病理检查可确诊为皮肤结核(寻常狼疮)。

- 容悦回复余霞:谢谢,互相交流学习哈
很好的病例
近一半的寻常狼疮患者会有其他部位的结核病,可进行排查以行全面有效治疗。治疗上除了服用抗结核药物之外,对于皮损处可予以异烟肼加生理盐水溶液外敷,若最终留有瘢痕,可...查看全部
寻常狼疮要注意定期检查预防复发,该例发病部位曾经做过耳切除术,不知是否和发病有关?如果想做外观重建假体修复,可行吗?
该例寻常狼疮可考虑行手术切除。皮肤结核成人标准的6个月治疗方案为:最初2个月口服利福平,异烟肼、吡嗪酰胺和乙胺丁醇;后4个月的持续治疗阶段口服利福平和异烟肼治疗...查看全部
该患者的皮肤结核与耳切除时间间隔多久?寻常狼疮型皮肤结核往往可以持续数年,建议寻找原发病灶,排查脏器、骨关节结核
系统检查有必要。其他系统或其他部位有无病变。谢谢分享。
为皮肤结核中较常见的一种,特征损害为许多苹果酱色结节和斑块,不规则扩展,形成瘢痕,破坏组织,病程持续多年。一般应用标准抗结核治疗,并监测药物不良反应。此病例治疗...查看全部
学习了,干酪样坏死,多核巨细胞,结核结节啊。不知道此患者的寻常狼疮跟右耳切除有没有关系。
为什么患者的皮损会出现在耳朵这个部位,跟她做得手术有没有关系呢?还是手术后感染所致
寻常狼疮占皮肤结核的10%~15%,女性发病率为男性的2~3倍。传播途径包括直接蔓延、从结核病灶经血液或淋巴传播或再感染。不知道患者皮损的原因什么,是身体本身就...查看全部
寻常狼疮的好发部位以面部最多,其次为四肢、臀部及颈部等处。面部寻常狼疮常致组织毁坏而损坏面容。四肢及颈部损害可因瘢痕收缩而挛缩畸形。寻常狼疮也常侵犯黏膜。无明显...查看全部
皮肤结核不太多见,结核杆菌一般多感染肺部,部分患者可以随血行播散到肾,肠,胸膜等部位出现其他部位的结核,皮肤结核是否也需要排除一下其他部位引起的继发性结核呢?
该病为皮肤结核中较常见的一种,临床表现为许多苹果酱色结节和斑块,易形成瘢痕,破坏组织,病程持续多年。该患者病史已有7年之久,结合其病理诊断明确,因其属于结核,治...查看全部
肤结核是结核菌感染皮肤而引起的,且大部分是人型结核菌引起少部分由牛型结核菌引起,此病常常是全身结核病的一种皮肤上的表现,其中肺结核占多数。它发病的诱发因素是人体...查看全部
对小片寻常狼疮,可在局部麻醉下施行刮除术,术后压迫止血,外敷10%次没食子酸铋,也可用1%普鲁卡因液1ml加入2.5%异烟肼溶液2ml,在损害四周做环形皮下注射...查看全部