打开应用肝脏影像系列(九):肝局灶性结节增生(FNH)(第二常见良性肿瘤)
神经外科
徐医师

中山大学附属第三医院
主诉 病史
主诉:发现肝内占位5天。
病史:中年女性,急性病程。.患者于5天前在外院行“宫腔镜下子宫内膜息肉电切术+宫腔粘连松解术+宫颈扩张术+宫颈内口探查术”术前检查腹部超声时发现肝右叶实质性病,无乏力、纳差、腹胀。
查体 复查
查体:腹平,腹壁静脉无显露,腹软,无压痛,无反跳痛。肝肋下未及。
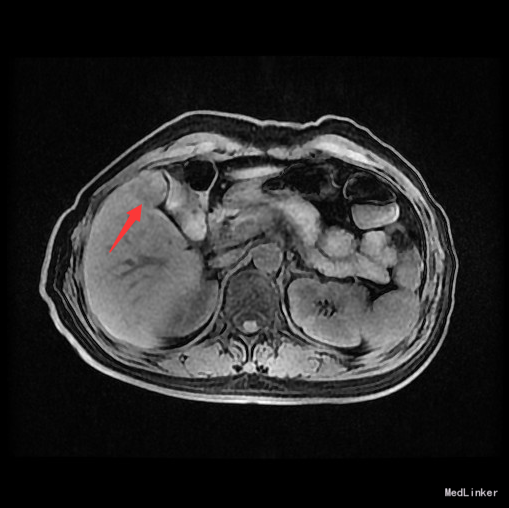
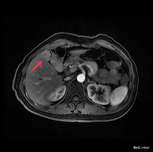
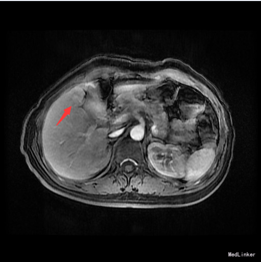
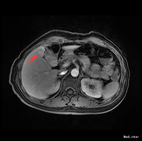
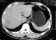
辅查:AFP 3.43ng/ml, CEA 1.47ng/ml。MR:肝S5段占位性病变(26*25mm),考虑肝癌可能性大,建议活检。




诊断 治疗
诊断:肝占位病变
治疗:排除手术禁忌,于全麻下行“肝右叶肿物切除、胆囊切除术”,术程顺利,术后恢复良好。
随访 处理
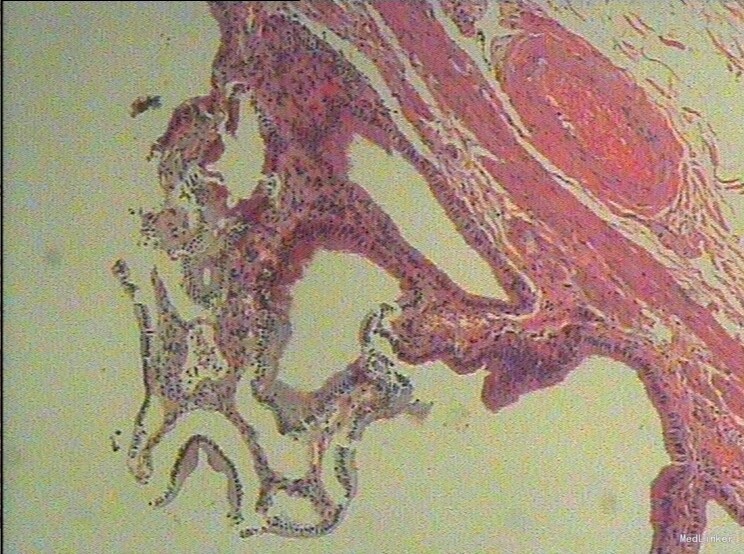
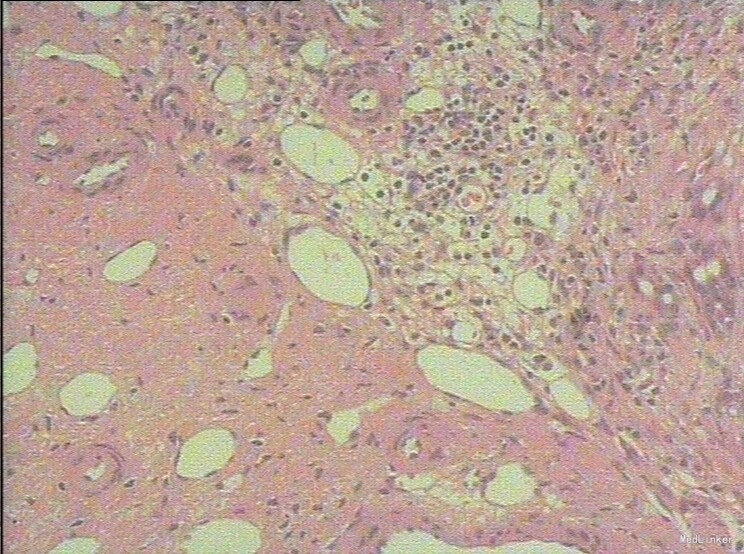
随访:术后病理示:(右肝肿物)送检肝组织部分呈结节状增生,结节间见粗细不等的纤维间隔,其内见血管增生,少量淋巴细胞及浆细胞浸润,符合肝局灶性结节状增生(FNH)。 讨论:肝局灶性结节增生(FNH)是肝内第二常见良性肿瘤,一般无临床症状,影像学表现,MRI上T1WI和T2WI与周围肝实质信号相近,增强扫描动脉期明显强化,若存在中央瘢痕,则中央瘢痕不强化,门脉期及静脉期强化程度减退,中央瘢痕则呈延迟强化。FNH需与肝癌和肝腺瘤鉴别,本例即误诊为肝癌,若存在中央瘢痕,则诊断较容易。



相似病例推荐
腹部影像系列(一):肝局灶性结节增生(FNH)
2016-03-27阅读量:8393
肝脏局灶性结节性增生(FNH)一例
2015-03-29阅读量:5684

肝脏局灶性结节增生
2016-03-11阅读量:3848
评论精选
张小龙
济南市中心医院
共5评论最早评论
- 徐帆回复沈顺利:嗯嗯,超声造影也能帮助鉴别。
- 徐帆回复张小龙:文中图就是磁共振动态增强扫描…
- 徐帆回复张小龙:是啊,穿刺活检能避免切除。
沈顺利
中山大学附属第一医院
超声造影也不错,有助于鉴别诊断
2015-12-27 00:39
张小龙
济南市中心医院
实验室数据不支持Ca的时候,最好术前还是做下增强,或超声造影,该病灶位置较表浅,完全可行穿刺活检术。
2015-12-27 09:51
没有更多数据了
实验室数据不支持Ca的时候,最好术前还是做下增强,或超声造影,该病灶位置较表浅,完全可行穿刺活检术。