打开应用迷走左锁骨下动脉
主诉 男,年龄:14岁。体力下降、活动后口唇紫绀9年余。患儿5岁开始感体力较同龄儿童差,活动后有口唇及指端紫绀,活动耐量较前下降,现感剧烈活动后气促,上楼3楼感气促,20天前无明显诱因下出现眼前发黑、头晕、意识模糊,未晕倒,休息后好转,无晕厥、抽搐等,遂至当地医院行心脏彩超检查提示“先天性心脏病 Fallot四联症”,来我院外科手术治疗。体格生长发育、智力发育同正常同龄儿相比无明显差异。否认家族遗传病病史。
体查 辅查 T 36.7℃ R 20bpm P 118bpm 测单侧上下肢血压[mmHg]:左上:100/58;左下:100/60;SPO2:左上:96%;左下:92%。神志清楚,口唇、指端可见轻微紫绀,无杵状指,咽无充血,扁桃体无肿大,颈软,颈静脉无充盈,甲状腺无肿大,胸廓对称无畸形,双肺呼吸音清,未闻及干、湿性罗音,心前区无隆起,心尖无抬举样搏动,胸骨左缘可触及震颤,心界向左扩大,心率 118bpm,律齐,P2减弱,胸骨左缘第3肋间可闻及4/6级收缩期杂音,传导广泛。双下肢无水肿,双侧足背动脉搏动正常、对称。
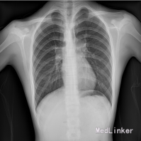
胸片:肺血少,肺无实变,双膈光整,心影无特殊
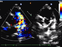
内脏、心房正位,心脏于左前胸探及,心尖指向左下。肝脏位于右上腹,肝静脉、下腔静脉回流入右心房,脾、胃位于左上腹,肺静脉回流入左心房。心室右袢,房室连接一致,二尖瓣、左室位于左侧与左房连接,三尖瓣、右室位于右侧与右房连接。主动脉增宽,前移骑跨于室间隔之上,骑跨率约50%。右室流出道内径为0.8厘米,肺动脉瓣环径为1.4厘米,主肺动脉内径1.8厘米,左右肺动脉分支内径分别为1.0厘米、1.1厘米,肺动脉瓣增厚、回声增强,收缩期右室流出道至肺动脉腔内血流速度增快,峰值速度为5.2米/秒,压差108毫米汞柱。大动脉水平未见明显分流信号。右位主动脉弓。主动脉瓣下室间隔回声连续中断,缺损径:2.1厘米,左室和右室血流射入主动脉。房间隔回声连续完整。右房、右室饱满,左房、左室不大。左室舒张末期容积(EDV)45毫升。二、三尖瓣回声活动正常。
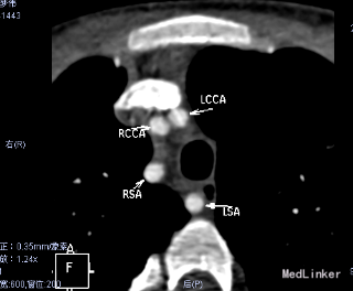
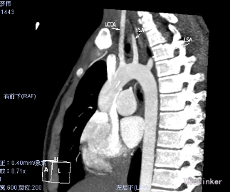
心脏CT:内脏、心房正位,左位心。肺动脉瓣二叶瓣,左室发育好。McGoon指数3.9。左室容积指数69.6ml/㎡。干下室间隔缺损,缺损约21.8mm。右位主动脉弓。迷走左锁骨下动脉。左锁骨下动脉异常起源于降主动脉起始处,经食管后方走行至左侧。左、右冠状动脉起源、走行未见异常。纵隔内未见体肺侧支动脉。气管下段中度狭窄。







诊断、治疗
诊断:先天性心脏病 Fallot四联症 心功能II级 迷走左锁骨下动脉
治疗:全麻 低温 体外循环 打开右房,切开房间隔放置左心引流管。纵行切开右室流出道、瓣环及主肺动脉,切除肥厚的隔、壁束。4/0Prolene 缝合自体心包片修补室缺。5/0Prolene缝合牛颈静脉单瓣补片跨环加宽右室流出道。缝合房间隔切口。复温,关闭右房切口。术后TEE示:室缺未见残余分流,余(-)。测压显示:右室压:主动脉压=0.6左右。常规关胸。
一周后患者病情稳定,胸部伤口I/甲愈合,伤口拆线出院。
预后、讨论
患者3月后复查未见异常。
患者因Fallot四联症行术前常规检查,发现合并迷走左锁骨下动脉。临床上迷走右锁骨下动脉比较多见。此患者右位主动脉弓。迷走左锁骨下动脉。左锁骨下动脉异常起源于降主动脉起始处,经食管后方走行至左侧。迷走左锁骨下动脉有二种类型:一种为单纯迷走锁骨下动脉,,一种同时合并Kommerell憩室。可能以22q11.2缺失有关。迷走左锁骨下动脉与双主动脉弓一样,是可以完整形成血管环的畸形。迷走左锁骨下动脉常合并有Fallot四联症、室间隔缺损等心脏畸形。心脏增强CT或核磁共振有助于左迷走锁骨下动脉诊断。通常没有食道、气管等脏器的压迫,不需要手术矫正。


- 黄浩泉回复宋志斌:确实是比较少见的先天性血管畸形,可能是因为如果没有伴发其他畸形,症状不明显,但近年来随着心脏增强CT和MRI的应用,有越来越多的病例被发现了。
- 范伟明回复姚甲:通过影像学还是比较好发现这种畸形的
- 孙巨回复刘亚宁:手术都考验医生的技巧,尽善尽美,不过这病手术完成的难度相对较大,确实要谢谢分享。
- 孙巨回复陈现杰:恩,同赞,而且这个病例发的很详细,数据很多,值得学习鼓励。
- 石海娟回复樊孙甫:看手术纪录,患者的迷走左锁骨下动脉是没有处理的,只是处理了心脏的问题。请教下樊医生,一般这类病人在出现什么症状时需要手术干预呢?
这个确实少见
先进的仪器设备给先天变异畸形的诊断带来了福音。右位主动脉弓伴迷走左锁骨下动脉很少伴发其他先天畸形,而右位主动脉弓伴镜面分支者则合并其他先天畸形多见。
没见过,学习了
在人体器官变异中最常见的畸形为:心血管系统,由于循环系统分布广泛,走行多的特点,随着先天发育及组织器官发生顺序变化极易变异,相比较而言迷走左锁骨下动脉临床发病率...查看全部
很少见!赞
迷走左锁骨下动脉属于主动脉畸形中一种形式,比较罕见,一般没有症状,少部分因压迫可引起症状,一般也不需要手术治疗,但若有明显的压迫症状,需行手术矫正,本例患者还合...查看全部
不愧是高峰论坛的病例,主动脉弓系统的异位多为右锁骨下动脉异位,该患者主动脉弓为右位走向,应该也有关系吧。这类异常形成血管环可以压迫气管和血管。
这一例没有见到Kommerell憩室,国内也是比较少见,除了考虑和外国人的体质不同,还有就是查出率不同,不太能评价Kommerell憩室的发生率。
迷走左锁骨下动脉还是比较罕见的吧,是左锁骨下动脉开口于主动脉弓的右侧。其X线表现恰为迷走右锁骨下动脉的镜像。这种病应该是基因缺陷导致的吧?