打开应用肾移植后2月巨细胞病毒感染
肾移植术后2月余,咳嗽伴反复发热1周入院
入院前患者于2015年8月29日因慢性肾功能不全尿毒症期在我院行同种异体肾移植术,术后移植肾功能恢复顺利,予“普乐可复+米芙+美卓乐”抗排斥治疗,尿量基本维持在3000ml/日。1周前无明显诱因出现咳嗽,偶伴发热,无咳痰,无乏力、恶心、呕吐、少尿等症状。11-02上午至我院门诊就诊,检查发现患者感染指标升高,考虑为“肺部感染”。患者为求进一步诊治入住我院,门诊以“肺部感染”收入我科




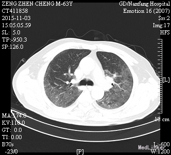
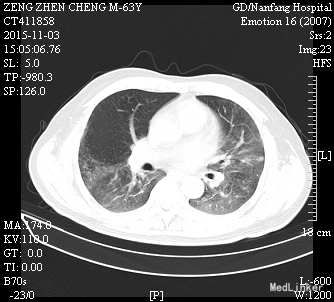
患者诉仍有咳嗽咳痰、呼吸困难、胸闷气促,咳白色粘痰,平卧及活动时加重,坐起后缓解,无发热,无咯血,精神、睡眠一般,饮食欠佳,大小便正常。高流量吸氧(7L/min)下血氧饱和度维持在93-95%,心率65-75次/分。查体:神志清楚,查体合作,胸廓未见异常;双肺呼吸音粗,双侧肺可闻及少许细湿罗音,无胸膜摩擦音;心界不大,心律齐,各瓣膜听诊区未闻及病理性杂音;腹平坦,无压痛、反跳痛,肝脏肋下未触及。辅助检查:感染三项:降钙素原(ProCT)6.00ng/ml;淀粉样蛋白A(SAA)281.8mg/L;C反应蛋白(CRP)。真菌D-葡聚糖(1_2_3βD)315pg/mL。巨细胞病毒定量(FQ_HCMV)2.85E+3copies/m。凝血功能:血浆D-二聚体测定(D-Dimer)0.85mg/L FEU;活化部分凝血活酶时间(APTT)46.8秒;血浆凝血酶原时间测定(PT)14.0秒。肾功能:尿素(BUN)19.52mmol/L;肌酐(CR)223μmol/L。肝功能:丙氨酸氨基转移酶(ALT)79U/L;天门冬氨酸氨基转移酶(AST)60U/L;总蛋白(TP)54.3g/L;白蛋白(ALB)21.8g/L150.67mg/L。前-脑利尿肽(Pro-BNP)572.1pg/mL。胸片示:1、两肺炎症,较前进展,建议治疗后复查;2、主动脉硬化;3、左肾区致密影,请结合临床其他检查;4、右第4肋骨陈旧骨折。

诊断:1.重症肺炎
2.I型呼吸衰竭
3.肾移植术后慢性肾功能不全
4.左肾结石
5.同种异体肾移植术后
6.药物性免疫缺陷病
治疗:予更昔洛韦抗病毒、百炎净+亚胺培南西司他丁+莫西沙星抗细菌、免疫球蛋白冲击等抗感染治疗,注意根据患者肌酐清除率计算药物剂量,定期监测感染指标,调整抗感染方案;2、患者免疫抑制过程中出现感染,需降低免疫抑制强度,予甲强龙(80mg 1/日)、普乐可复(1.5mg 1/早,1.0mg 1/晚)、米芙(180mg 2/日)、五酯胶囊抑制免疫力;3、患者白蛋白较低,注意补充;4、注意护肝、降糖、碱化尿液等对症处理。2日后呼吸困难没有改善,查D葡聚糖315pg/mL,不排除真菌感染,加用科赛斯抗真菌治疗,持续20天后患者呼吸困难好转,血常规及CRP等值恢复正常



肾移植术后肺 部感染多发生在术后的早期,多数是在术后2~4月期间感染的。与这期间免疫抑制剂用量大,机体抵抗力低下有关。新型免疫抑制剂的临床应用,提高了肾移植的成功率,但也导致了机体免疫力降低,增加了各种感染的机会,以肺部感染最为常见,已成为肾移植患者死亡的主要原因。早期诊断和治疗对其预后尤为重要。 肾移植术后肺部感染早期的临床表现往往不典型,发热是其最常见、最主要的早期症状有发热,占 90%;许多患者入院时只有发热,开始为低热,咳嗽、咯痰、双 肺罗音均不明显,随后3-5天体温可达38.5℃以上;X线胸片已经显示肺部有点、片状阴影;病情发展迅速,咳嗽、咯痰及肺部罗音出现,患者很快会出现胸闷、呼吸困难、血氧饱和度下降,血气分析可有不同程度的低氧血症。所以肾移植术后早期出现发热,一定要摄胸片(或反复摄胸片),查白细胞计数,必要时行纤维支气管镜检查,或按肺部感染处理(排除排异反应)。 病原体的检测至关重要,需要反复、多次查血和痰的细菌、霉菌培养、痰涂片,必要时可行纤维支气管镜取分泌物查找病原菌。肾移植术后病毒感染较常见,特别是巨细胞病毒(CMV)最常见;由于CMV在正常人群中广泛存在,但多无临床症状,在免疫力低下时可使潜在的病毒复活、复制,导致肺部感染,死亡率高。激素对潜在的CMV复活影响很小,免疫抑制剂(如CSA、FK506等)可加速CMV的复制;CMV肺部感染无特异性,表现为高热、干咳、呼吸急促、白细胞减少,胸片多以片状或散在点片状影为主,也可扩散至全肺,呈间质性肺炎的表现;虽然获得CMV感染的直接证据很难,但PCR-CMV -DNA和CMV-IgM的检测可作为诊断依据。更昔洛韦对CMV感染治疗效果较好。 肾移植患者由于长期大量的用免疫抑制剂、肾上腺皮质激素,使机体抵抗力下降,加之强效广谱抗生素的应用,易造成机体菌群失调,导致二重感染,使机体正常分布的真菌大量繁殖、扩散。可适当抢先治疗,本例用卡泊芬净取得较好效果。肾移植术后肺部感染患者病情进展迅速,伴随着高热,可出现胸闷、呼吸困难、血氧饱和度下降等;治疗上除抗感染、化痰止咳外,必要 用呼吸机辅助呼吸,改善肺通气功能,提高血氧分压;可先采用无创的面罩吸氧,如氧合不满意,则改用有创的气管插管辅助通气,本例患者用无创呼吸机辅助通气取得较好效果。
- 任翔回复程相画:您将移植后巨细胞病毒感染的病因分析得很全面。请教您一下,移植手术前会不会做一些措施来预防这些感染呢?
- 宁瑜回复李栋栋:看来是有预防措施的,学习了!请教您一下,一般T细胞消解性治疗要进行多久呢?停止治疗的指标是什么呢
- 李杨婷回复于瑞双:那于医生可以具体讲一下经验性药物治疗吗?例如哪些情况考虑哪种感染?
- 李德兰回复高星星:之前有看过肾移植后不规律服用免疫抑制剂导致感染的病例,都提示了免疫抑制剂的合理用药非常重要。
- 刘丹回复樊孙甫:请问更昔洛韦在这种情况下是不是使用疗程要相对延长呢?谢谢
- 曾玮琪回复马涛:同意,通常病毒感染会伴有细菌的感染,而且患者还使用免疫抑制剂,更是加大了治疗难度,这种病人通常病死率比较高
肾移植术后发生巨细胞病毒(CMV)感染可能与下列情况有关:①CMV阴性受者(R-)接受CMV阳性供者(D+)的器官,也称为原发感染。②受者术前CMV阳性(R+)...查看全部
肾移植很成功,CMV是术后最常见并发症和死亡之一,CMV的唯一宿主是人,但大多数呈隐性感染,感染主要分为3肿形式,原发感染,激发感染、再感染或双重感染,其通常发...查看全部
肾移植手术后应用大量免疫抑制剂很容易出现肺部感染,其中可能为病毒、卡式肺孢子菌,及其它真菌感染,有时监测抗体或者肺泡灌洗诊断有一定难度,如果有经验的可以经验型的...查看全部
感谢分享,肾移植术后因为要防止免疫排斥反应,所以会用大量免疫抑制剂防止其免疫排斥,但是这样面临的问题是会导致其免疫功能的低下,引起患者全身系统的感染。故脏器移植...查看全部
巨细胞病毒感染是肾移植术后常见的并发症,特别是肺部感染是肾移植术后患者死亡的重要原因之一。由于巨细胞病毒感染的临床表现不典型,对它的诊断主要依赖实验室检查。目前...查看全部
巨细胞病毒感染是肾移植术后常见并发症和主要死亡原因,除具有器官特异性损害外,也可增加移植物排斥危险,进一步影响移植肾的长期存活。重视肾移植术前供受双方血清检测,...查看全部
肾移植术后常规免疫抑制治疗极易导致继发感染 恶性肿瘤生长,严重者往往可危机生命。该患者继发肺部巨细胞病毒感染不除外合并其他病原体感染,建议重症监护室治疗上广谱抗...查看全部
该病例明确病原体后针对性治疗效果较好,免疫抑制下各种病原体感染都有,需要及时明确
苏主任,您病例中提及不排除真菌感染,加用科赛斯抗真菌治疗,持续20天后患者呼吸困难好转,请问这样子的话,是由于加治疗真菌药物好的呢?还是原来抗病毒和细菌药物起作...查看全部
移植后必然是要用免疫抑制剂的,相应的免疫力肯定低下,容易感染,所以除了正确用药外,还是要看病人的行为和人品。
正常成人一般情况是很难感染巨细胞病毒的,此患者之所以发病跟其肾移植的免疫抑制导致免疫力下降密切相关。对于这种病人下一步感染的预防和免疫力的提高,不治苏主任有何妙...查看全部
肾移植术后免疫功能下降时,CMV由潜伏状态转为活化状态,继而引起CMV病。 肾移植后CMV感染的发生率最高,而且CMV疾病所致的死亡率也居首位
学习了,谢谢分享
学习了,谢谢分享
!