打开应用皮肤纤毛囊肿一例
患者男,24岁,发现左侧锁骨下皮肤一粟粒大小孔伴流液8年余。
查体:患者左锁骨下缘可见一小孔,周围皮肤外观正常,无红肿,挤压小孔可见略粘稠的胶冻样液体流出,小孔周围可触及皮下囊性肿物,质地中等。
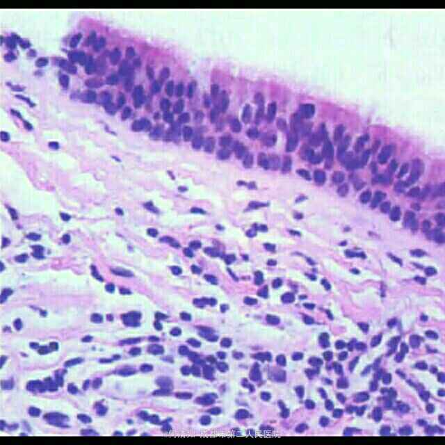
病理检查:真皮可见一囊状腔隙直接开口于表皮,囊壁被覆假复层柱状上皮细胞,周围伴较多淋巴细胞浸润。
免疫组化染色:囊壁的假复层纤毛柱状上皮的癌胚抗原(CEA)、上皮膜抗原(EMA)、细胞角蛋白(CK)、CKl8均为阳性(+),巨囊性病的液状蛋白15(GCDFP-15)、雌激素受体(ER)、孕酮受体(PR)均阴性(-)。




根据临床特点及组织病理改变,诊断:皮肤纤毛囊肿。
处理:皮损全切。
讨论:皮肤纤毛囊肿是一种少见的良性皮肤损害,好发于生育年龄女性的下肢部位,囊肿直径通常数厘米,可为单房性或多房性,充满清澈或琥珀色液体;囊肿位于真皮内,囊壁由单层立方形或柱状纤毛上皮所组成。
本病例发生于男性患者的颈锁骨上部,免疫组化示CEA、EMA阳性,ER、PR阴性,考虑小汗腺纤毛化生的可能性大。皮肤纤毛囊肿要与支气管源性囊肿和甲状舌骨导管囊肿相鉴别,是一种良性病变,可采用手术切除,不需其他额外的治疗。
引自 DOI10.3760cma.j.issn.0412-4030.2015.03.020

感觉临床上很少见呢,诊断依赖于强大的病理科,请教该例的诊断思路?以上免疫组化是贵院常规全套吗?
该皮损可以通过手术切除或二氧化碳激光除去,但是在治疗过程中一定注意完全去除囊壁,不然复发可能性较大。
该病目前相关研究并不多,治疗方法也很单一,以手术治疗为主,药物治疗效果差,辛辣食物有促进血液循环,使炎症扩散,因此饮食方面要注意忌吃辛辣食物。
病理还是金标准,这个皮损除了留液就没有其他自觉症状了吗?手术切除后预后都挺好的,不用加其他治疗方式。