打开应用左下8水平阻生拔除
口腔科
李医师

空军军医大学口腔医学院
主诉 病史
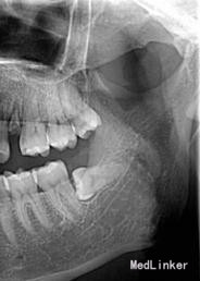
患者,男,25岁,要求拔除左下颌水平阻生牙齿,平素体质一般,无药物、食物过敏史,无高血压、心脏病等系统病史


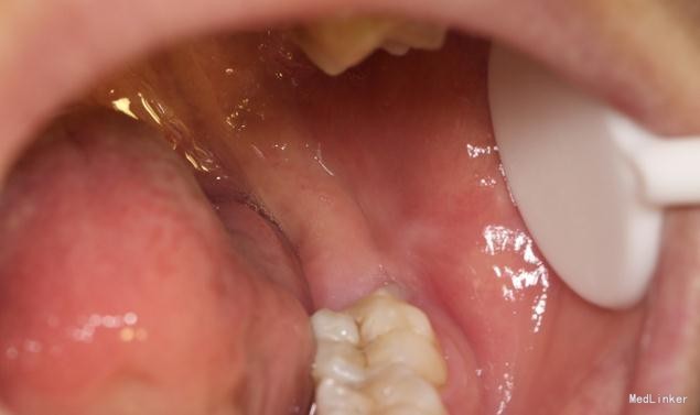
查体 复查
行曲面断层片

诊断 治疗
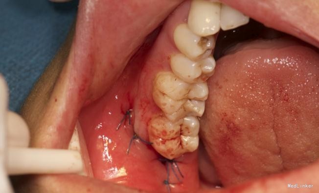
拔除术








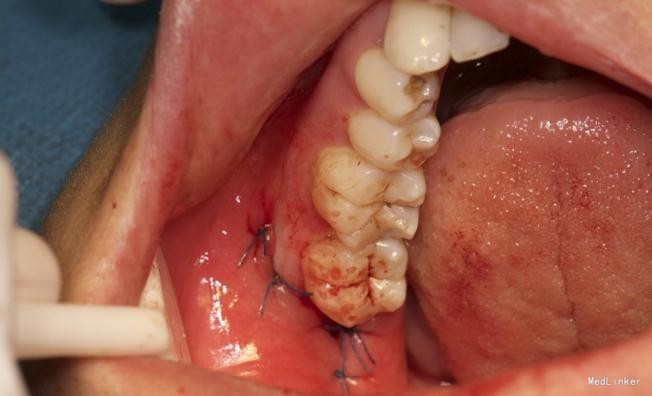
随访 处理
效果很好,患者满意

相似病例推荐
左下水平阻生齿拔除术
2016-05-27阅读量:4523
水平阻生牙拔除
2015-12-23阅读量:3322

水平阻生智齿拔除
2015-11-11阅读量:2366

共5评论最早评论
杨凡巧
广东省中山医科大学附属光华口腔医院
常看到这种阻生齿拔除的病例,技术还是很成熟的。我常看到患者拔除下颌阻生齿后7有远中深袋形成,不知道跟拔牙方式什么的是不是有很大的关系呢。术中术后该怎样处理才能最...查看全部
2016-06-13 20:27
卫俊俊
四川大学华西口腔医院
挺好的病例,图片也很清晰,牙齿分的很好,我之前拔过类似的牙,牙齿分开后近中撬不动,最后又T型分开近中后才弄出来
2016-06-14 22:50
李昀
空军军医大学口腔医学院
挺好的且较常见的病例,最主要的是照片很清晰!在拔出了阻生齿后,患者的对颌牙是不是应该同时或者择日拔除呢,对颌牙伸长很快的……
2016-06-15 16:53
吴倩
四川大学华西口腔医院
详尽的病例,值得学习。水平阻生的智齿应该尽早拔除,以免后患,极容易在7和8之间形成食物嵌塞而导致7的远中邻面龋坏。8远中的盲袋也易导致冠周炎
2016-06-15 21:23
李菲
水平阻生拔除的难度还是很大的,图片看着创伤不是很大,能不能把您拔牙时的阻力分析和该牙具体的拔牙步骤给我们说一下呢?谢谢~
2016-06-16 10:16
没有更多数据了