打开应用

46牙根管治疗1例

口腔科
龚医师
四川大学华西口腔医院
主诉 病史

主诉:右下后牙冷热刺激痛3周

现病史:患者3周前开始出现右下后牙冷热刺激痛,后出现短暂自发痛,无放射痛,偶有夜间痛,现自觉症状缓解。

既往史:患者否认高血压、糖尿病、心脏病等病史,无肝炎等传染性疾病,无药物过敏。

查体 复查

检查:46牙合面见大面积树脂充填物,部分树脂材料脱落,远中可探及继发龋,深,可探及穿髓孔,冷刺激迟钝,热刺激迟钝,电活力测试58,探(+),叩(-);牙龈及牙槽粘膜未见窦道,根尖区扪诊无不适。

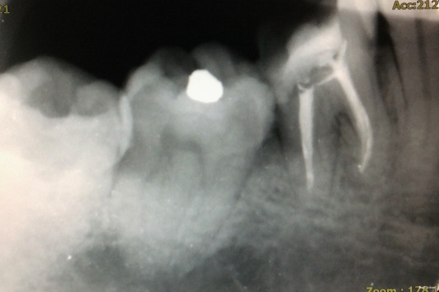
X线检查:牙体组织见大面积高密度影,远中影像密度减低,累及髓腔;根尖周未见低密度影;远中牙槽嵴顶高度降低。

诊断 治疗

诊断:46牙慢性牙髓炎

治疗:46牙根管治疗+充填修复+桩冠修复

治疗经过:

首诊:去除原树脂充填物,去净龋坏,开髓,止血,封“三聚甲醛”。

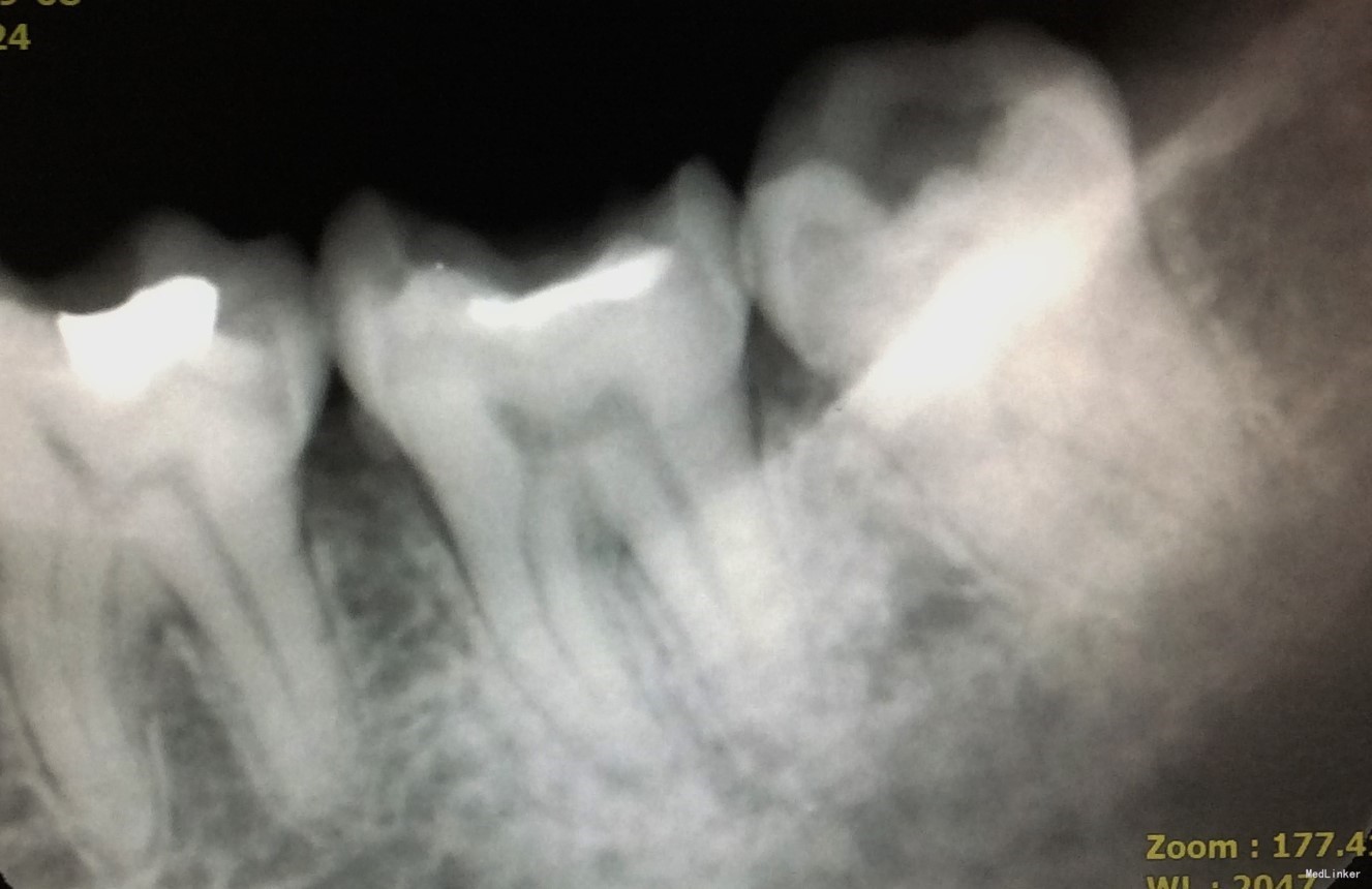
首次复诊:46牙上橡皮障,揭全随室顶,显微镜下探查根管口,3根管牙,清理髓腔,#08,#10,#15不锈钢K锉疏通根管,根测仪测量根管长度,近颊根19mm,近舌根18.5mm,远中根20mm;EDTA润滑剂作用下,机用镍钛器械Protaper清扩至#2506锥度,远中根#3004,K锉疏通至#40;示尖到位;超声荡洗,次氯酸钠冲洗,干燥,根管内封氢氧化钙,髓腔置干棉球,CAVITON暂封。

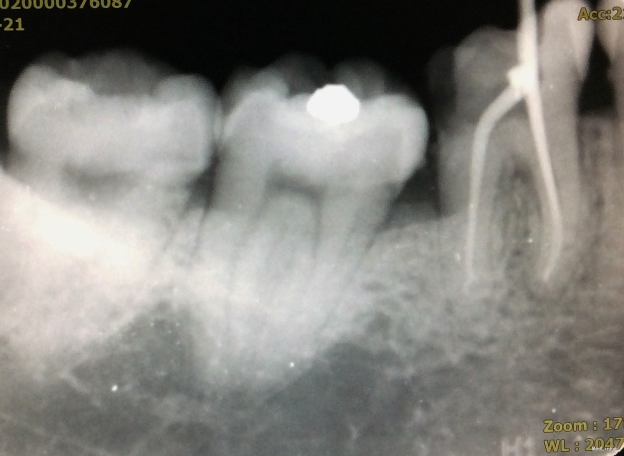
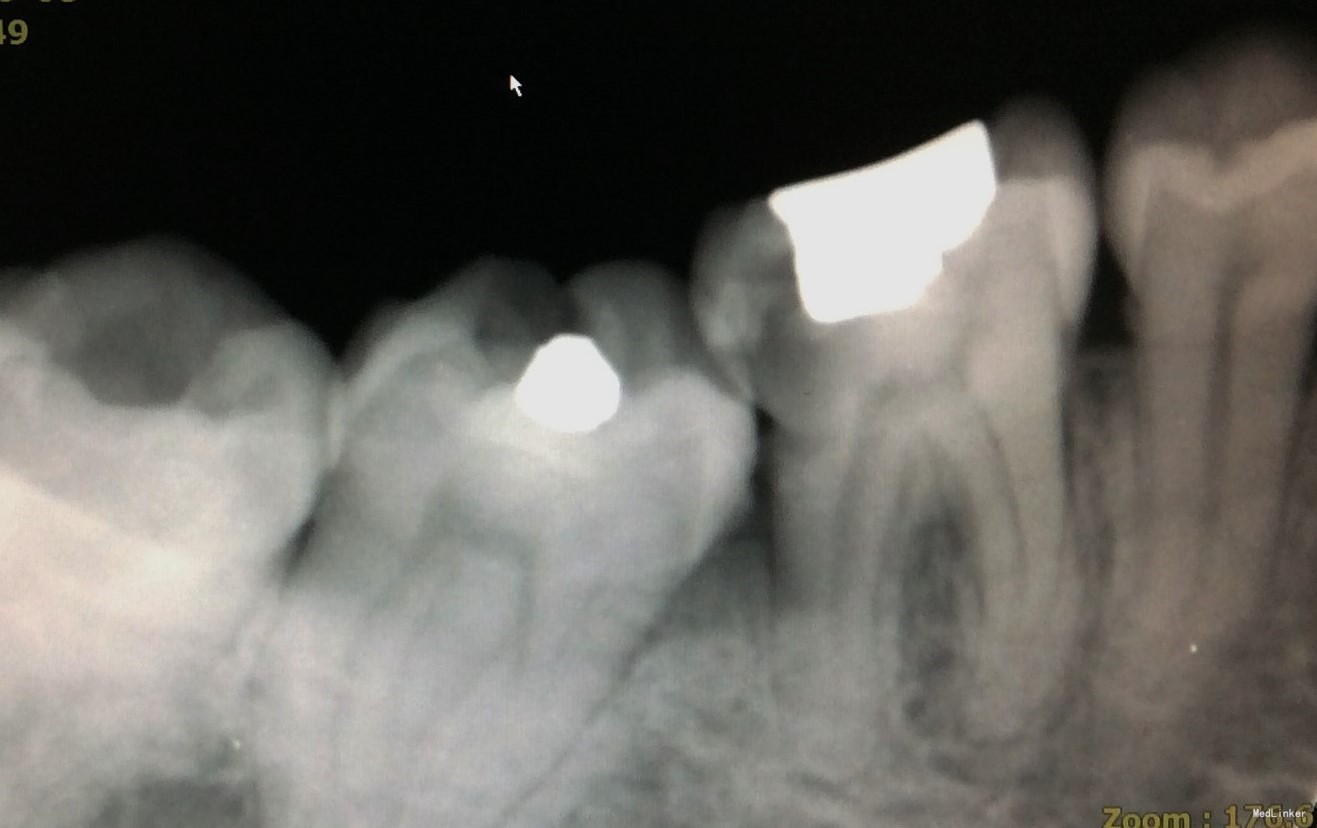
二次复诊:46牙上橡皮障,去暂封,荡洗根管,次氯酸钠冲洗,干燥根管,AH糊剂加大椎度牙胶充填根尖段根管,热牙胶封闭上段根管;远中根预备纤维桩道,粘接纤维桩,行牙体树脂粘接修复。建议观察1周,若无明显不适,至修复可行冠修复。建议牙周科会诊46牙。

随访 处理

讨论:

1、下颌第一磨牙3根管最常见,上图清晰展示了开髓后根管口的分布。寻找根管口应注意寻找是否有远舌根,因为远舌根通常位置靠近远中边缘,若随室顶没揭全,易遗留。

2、根管预备应注意根尖孔大小。下颌磨牙通常远中根根尖孔较近中根根尖孔直径更大,行预备时应注意用K锉试探根尖孔预备是否恰当。

3、AH糊剂调拌的状态可能会影响根充的质量。本病例中,近中根、远中根均有不均匀高密度影,为相对较稠的AH糊剂。根充时应注意AH糊剂是否已固化,且应在根管中上下提拉主牙胶尖数次以使糊剂充分到达根尖处,且均匀分布于根管内。

4、若远中根根管粗大,可充填副尖以更好地封闭根尖段。

5、从该病例中可发现,远中根根尖孔开口应位于远中,不在根尖。因根尖孔的解剖位置差异大,根管治疗应充分利用根测仪测量准确的长度,不能仅凭X线片来判断。

相似病例推荐
后牙根管再治疗
2017-01-17阅读量:9061
37牙根管治疗1例
2015-11-29阅读量:6305
前牙根管治疗1例
2016-08-27阅读量:2883
评论精选
    张权政
    空军军医大学口腔医学院

    这样的病例才是比较规范的病例,在临床上也肯定是工作认真细致。有一个疑问:为什么不全用热牙胶充填呢?

    2015-12-04 14:12
    • 龚娜回复张权政:根尖段若使用热牙胶,可能会导致超充及欠充的情况,所以需要冷牙胶封闭根尖段。
    • 张权政回复张权政:嗯,受教!廖医生自我要求严格啊,有的医生认为超充的可以自我吸收,所以为了省事全部使用热牙胶!
    林西
    四川大学华西口腔医院

    步骤很详细,每一步都有画面感,讨论部分也是对注意事项补充的很好~

    2015-12-03 20:55
    • 龚娜回复林西:谢谢!
    • 林西回复龚娜:感谢分享~
    刘明园
    青海大学附属医院

    考虑周全,详细。步骤规范,对华西的医生,佩服佩服。

    2015-11-29 09:21
    • 李菲回复刘明园:确实!病例写的认真详细规范!讨论也写的很好,多些这样的病例利于我们的学习!
    • 龚娜回复刘明园:谢谢!
15评论最早评论
    刘明园
    青海大学附属医院

    考虑周全,详细。步骤规范,对华西的医生,佩服佩服。

    2015-11-29 09:21
    • 李菲回复刘明园:确实!病例写的认真详细规范!讨论也写的很好,多些这样的病例利于我们的学习!
    • 龚娜回复刘明园:谢谢!
    林西
    四川大学华西口腔医院

    步骤很详细,每一步都有画面感,讨论部分也是对注意事项补充的很好~

    2015-12-03 20:55
    • 龚娜回复林西:谢谢!
    • 林西回复龚娜:感谢分享~
    李昀
    空军军医大学口腔医学院

    廖医生的病例很是详细,思路清晰,并且图片也很漂亮,讨论部分也非常精彩,学习了不少东西。真想学到更多这样的病例…

    2015-12-03 23:47
    • 龚娜回复李昀:谢谢!
    张权政
    空军军医大学口腔医学院

    这样的病例才是比较规范的病例,在临床上也肯定是工作认真细致。有一个疑问:为什么不全用热牙胶充填呢?

    2015-12-04 14:12
    • 龚娜回复张权政:根尖段若使用热牙胶,可能会导致超充及欠充的情况,所以需要冷牙胶封闭根尖段。
    • 张权政回复张权政:嗯,受教!廖医生自我要求严格啊,有的医生认为超充的可以自我吸收,所以为了省事全部使用热牙胶!
    刘晓可
    四川大学华西口腔医院

    病例很详细,有照片有x片,让大家对具体情况很了解,讨论也很详细,说了很多大家没意识到的东西。

    2015-12-05 19:50
    • 龚娜回复刘晓可:谢谢!
    杨乐
    中山医科大学口腔医疗中心

    非常规范的病例书写,操作也非常规范,确实现在很多医生都喜欢一根牙胶尖完成根充,对于根管粗大的应该采用副尖补充。谢谢分享!

    2015-12-13 22:06
    • 龚娜回复杨乐:谢谢!
没有更多数据了