打开应用小脑扁桃体下疝并脊髓空洞症
左上肢及胸背部麻木20年余。


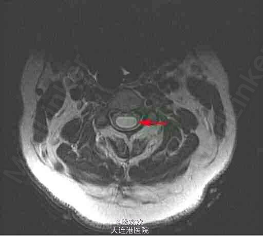
左上肢及胸背部痛温觉减退,脊柱侧弯。

小脑扁桃体下疝并脊髓空洞症



链接【小脑扁桃体下疝畸形】 又名阿诺德-奇阿(Arnold–Chiari)畸形,为常见的先天性发育异常。是由于胚胎发育异常使小脑扁桃体下部下降至枕骨大孔以下、颈椎管内,严重者部分延髓下段、四脑室下部下蚓部也下疝入椎管内。常合并有脊髓空洞,也可引起脑脊液循环受阻引起脑积水。小脑扁桃体下疝畸形常伴其他颅颈区畸形如脊髓脊膜膨出颈椎裂和小脑发育不全等。可表现为头痛、头面部上肢力弱、肩臂部痛温觉减退、吞咽困 难、眩晕、恶心、共济失调、甚至瘫痪等症状。 【治疗方法】
小脑扁桃体下疝畸形的主要治疗手段为手术治疗,手术的目的是为了解除枕骨大孔和上颈椎对小脑、脑干脊髓、第四脑室及该区其他神经结构的压迫,在可能的范围内分离枕大池正中孔和上颈髓的蛛网膜粘连,解除神经症状,缓解脑积水。 目前民权县中医院脑外科已在高倍显微镜下成功开展该手术![微笑][微笑][微笑]



对这种疾病还是比较陌生,学习了。患者的症状已持续20余年,手术后随访情况如何啊?
这种小脑扁桃体疝的如果压迫到脑干的不是很危险?患者竟然还有20年的病史。不知道患者手术后症状怎么样
小脑扁桃体下疝畸形起病缓慢,手术为主要治疗方法,术前术后要注意水电解质平衡,术中补充失血。 术后酌情预防感染,使用营养神经药物。
符合手术适应征的患者应及早行手术治疗。症状出现2年内手术治疗效果最好,疼痛常可在术后缓解,肢体力弱不易改善,尤其已有肌肉萎缩者;脊髓空洞影像学改善率可高达90%...查看全部