打开应用侵袭性牙周炎一例
主诉:下前牙逐渐松动一年
现病史:患者述一年来下前牙逐渐松动,缓慢加重,影响进食,就诊。
既往及家族史:父母健在,其父牙齿脱略较早,姐姐牙齿有相似症状
颌面部左右对称,开口度,开口型正常,双侧颞下颌关节可触及弹响。
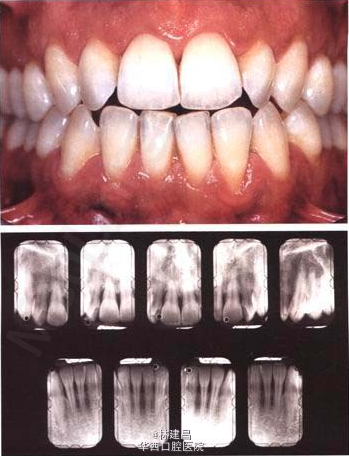
口内检查:全口口腔卫生欠佳,牙石(+),软垢(+),少量色素。牙龈中度红肿,BI=4,PD=2-9mm,前牙GR=0-4mm,松动度及
根分叉病变及余详见牙周大表。
曲断示:全口牙槽骨水平吸收根长1/2,36近中牙槽骨角形吸收。18,28,38,48阻生。



诊断:侵袭性牙周炎
治疗计划:1、牙周基础治疗(拔除无保留价值的患牙,洁治、刮治及根面平整术(SRP),调合,药物辅助治疗,OHI)
2、手术治疗
3、牙周维护治疗
随访:牙周炎不仅治疗很重要,患者能够坚持治疗并定期复查也很重要,该患者在第一次基础治疗配合很好,但是尚未复查,后期效果很难保证。
讨论:
侵袭性牙周炎诊断要点:
年龄<35
无明显系统疾病
快速的骨吸收和附着丧失
家族聚集性
牙周组织破坏程度与菌斑及局部刺激因素不一致
临床上不能遇到牙周炎的病人单纯诊断为牙周炎,如果能明确是哪种分型最好,可以指导治疗方案的设计。

- 张红利回复岳世超:全身使用阿莫西林加甲硝唑辅助治疗,局部刮治当天使用碘甘油,不要着急使用派力奥,个别学者认为,刮治结束立即使用派力奥可以提高急性牙周脓肿的发病率,待炎症消退以后可以使用,局部辅助使用浓替硝唑含漱液效果更好。
- 陈亚群回复张红利:嗯嗯,学习了
- 张红利回复陈亚群:这个是初诊牙周大表,还有专门复诊的表。要比这个简单。复诊检查患者重要指标是BOP,复诊大表很好的体现了
- 张红利回复刘晓可:患者一个月的时候没来复诊。牙周治疗的患者依从性很重要,方式治疗效果非常满意。现在也没来复诊,很遗憾。
- 张红利回复李飞:是的,角形吸收不明显。在临床上,可能很难碰见特别典型的侵袭性牙周炎,这个患者没有明显的垂直骨吸收,但是从病史及检查上可以明确诊断。
张大夫的这例侵袭性牙周炎的case不错,很典型的牙周组织破坏程度与菌斑刺激因素不一致。34岁的女性看牙周大表的情况确实挺严重,张大夫能谈下对侵袭性牙周炎的治疗中...查看全部
这个牙周检查记录表挺好的,牙周病的患者最好每次复诊都能记录,以便于对比,观察基础治疗及口腔维护的疗效。侵袭性牙周炎的话最好还是要辅助药物治疗
这个病例很清晰地展示了侵袭性牙周炎,并从家族史和菌斑刺激因素方面来阐述该病的诊断,令人印象深刻!请问这个病人后来效果如何?
牙周炎没有什么好方法,首先还是要基础治疗,定期复诊做下一步治疗!患者好像是依从性很差,遇到这样的病例我也不知怎么办~
侵袭性牙周炎的特点就是牙周组织破坏程度与菌斑及局部刺激因素不一致,骨吸收和附着丧失情况比较严重,目前确实只能一步步治疗,没有更好的效果。
这个应该属于广泛性侵袭性牙周炎,全口普遍性的牙槽骨吸收,但是好像没有明显的垂直性骨吸收,基本上都是水平性骨吸收。
这个牙周检查记录表挺好的,牙周病的患者最好每次复诊都能记录,以便于对比,观察基础治疗及口腔维护的疗效。侵袭性牙周炎的话最好还是要辅助药物治疗