打开应用骨质疏松性椎体压缩骨折治疗
骨科
魏医师

中山大学附属第一医院
主诉 病史
主诉:胸腰背部疼痛3月余,加重2周。
现病史:患者于3月前不慎摔倒,当时胸腰背部疼痛不适,活动受限,行走不能。未到医院诊治,在家卧床休息,腰背部疼痛变化体位、咳嗽时疼痛明显,不伴双下肢麻木,无大小便失禁。此后症状缓解。近2周来,患者外出时诉上述症状进一步加重,为进一步诊治收入我科。患者受伤以来,无昏迷,无腹痛腹胀,无大小便障碍。精神睡眠欠佳。

查体 复查
查体:脊柱胸腰段轻度后凸畸形。腰部活动受限,行走困难,腰1棘突上叩痛,压痛(+)。双下肢大腿上方皮肤感觉减退、双下肢髂腰肌肌力4级,余肌力正常,双下肢直腿抬高及加强试验(-),4字征(-),跟臀试验(-)。
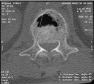
辅助检查:MRI检查示腰1椎体骨质疏松性压缩性骨折。


诊断 治疗
诊断:腰11椎体骨质疏松性压缩骨折
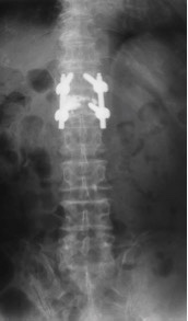
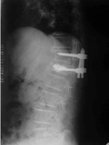
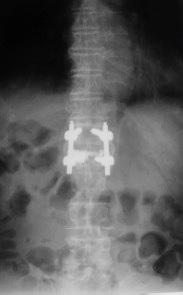
治疗:因患者椎体压缩骨折明显,椎体后缘骨折不完整,突入椎管,且硬膜囊受压,因此不适合行椎体成形术。给予单节段椎弓根钉固定并椎板切除减压术。骨折椎置钉结合钉道骨水泥加强稳定性。术后随访效果满意。


随访 处理
随访未见内固定松脱,无矫正丢失。


相似病例推荐
骨质疏松性椎体重度压缩骨折
2019-11-15阅读量:4521
老年骨质疏松压缩骨折治疗
2016-03-13阅读量:2916
骨质疏松性腰椎压缩骨折
2018-12-28阅读量:2825
共0评论最早评论
没有更多数据了