打开应用恶性胸膜间皮瘤1例
肿瘤科
刘医师

青海省人民医院
主诉 病史
32岁男性,因“胸痛,气促2月”入院。伴轻度咳嗽咳痰。外院予肺炎对症治疗效果欠佳。
查体 复查
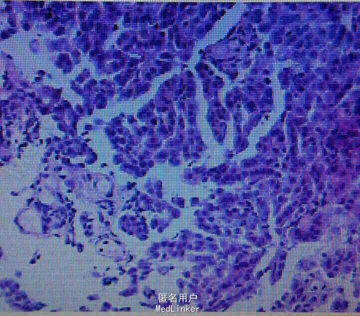
查体右下肺呼吸音减弱,无干湿罗音。心音正常。胸片示右胸膜增厚,少量积液。行胸膜活检示胸膜恶性间皮瘤。



诊断 治疗
诊断胸膜恶性间皮瘤。治疗力比泰+顺铂化疗,症状好转,胸水吸收。
随访 处理
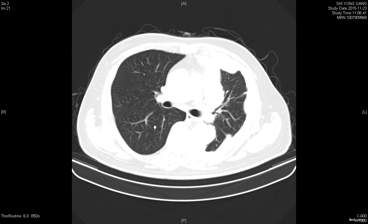
患者治疗6周期后,因经济原因停止化疗。今年复查胸片示右肺大量实变,b超证实非胸水。考虑为肿瘤进展。胸膜间皮瘤往往以胸水为首发,易误诊漏诊,对反复胸水治疗效果欠佳者,应尽早应胸膜活检。胸膜间皮瘤最佳治疗方案是力比泰。

相似病例推荐
恶性胸膜间皮瘤一例
2015-11-30阅读量:7294

恶性胸膜间皮瘤
2017-10-06阅读量:4177
恶性胸膜间皮瘤
2020-03-19阅读量:3070
共3评论最早评论
崔艳东
叶县人民医院
学习
2017-07-04 12:47
柳艳青
灵寿县中西医结合医院
胸膜间皮瘤预后怎么样?
2017-07-04 21:43
刘阳
费县人民医院
可否行靶向治疗?
2017-07-05 06:27
没有更多数据了