打开应用产后脑出血+子痫?+Fahr综合征?一例
患者,女,因“孕38+6周,发现血小板减少及血压升高一天”于5月31日入院,孕妇平素月经规律,5/30天,量中,有时痛经,LMP:2014.9.1。停经1月余自测尿HCG阳性,后B超确诊“宫内妊娠”。早孕反应一般,孕5月余自觉胎动至今。孕期于当地医院产检,资料不全,自诉2月前产检血压为130/90mmHg,余无异常,未复查及监测。昨日患者外出逛街后自觉头晕头痛明显,于当地医院检查血压150/88mmHg,入院后给予吸氧,解痉,降压治疗(具体药物不详),查血常规提示血小板减少,PLT 71*109/L,建议转我院进一步治疗。妊娠以来,孕妇精神、饮食、睡眠可,大小便正常,体力无改变,体重随孕周增加。妇科体格检查:BP130/90mmHg、 HR88次/分、 R20次/分, T36.6℃,患者神清,精神可,步入病房,查体合作,全身皮肤黏膜无黄染,浅表淋巴结未及肿大,双肺呼吸音清,全腹软,妊娠隆起,无压痛及反跳痛,胎心136次/分,全腹软,无压痛及反跳痛,双下肢浮肿(+)。产检:宫高32cm,腹围98cm,胎位ROA,胎心136次/分,先露固定,骨盆外测量正常。
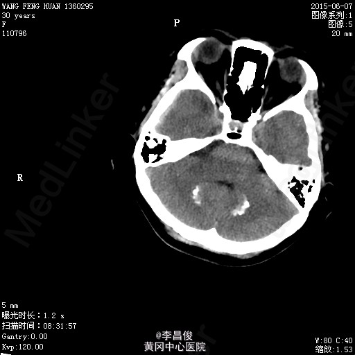
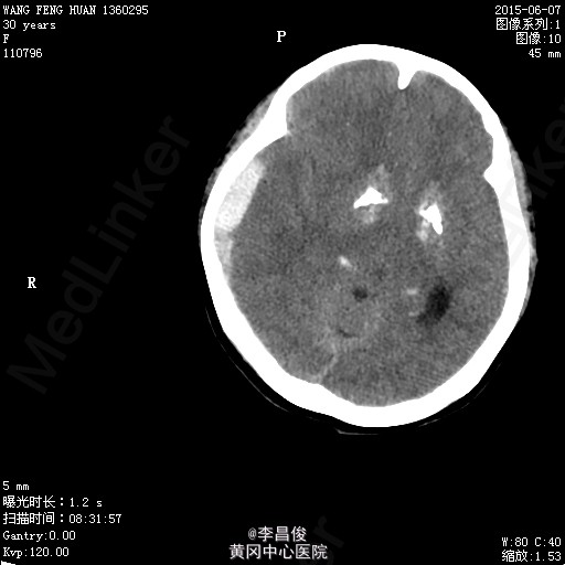
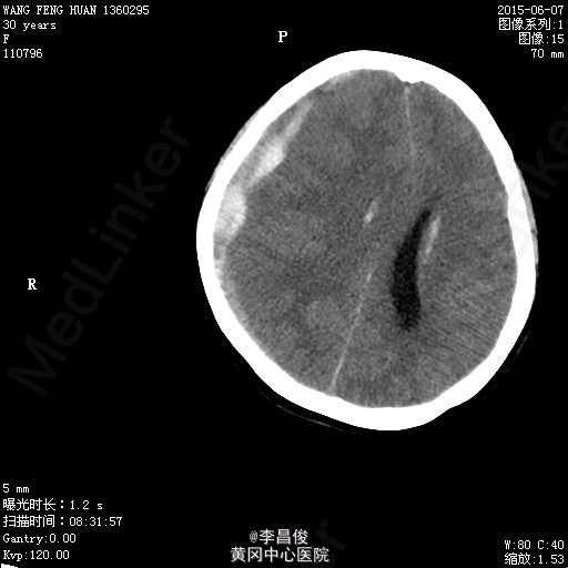
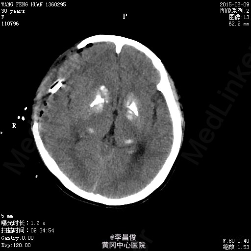
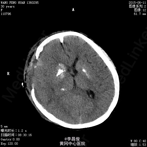
入院完善相关检查:血常规:血红蛋白 105.1g/L,血小板 95*10^9/L,尿常规:蛋白 -,肝功能:谷丙转氨酶 77.9U/L,尿酸 426.7umol/L,凝血机制:D-二聚体 2267ng/ml。 血脂:甘油三酯:3.31;低密度脂蛋白:5.46,甲功、心肌三项、心脏彩超正常, 给予对症处理,患者于6月4 日8:42分在会阴左侧切下以LOA位顺利娩出一活女婴,产程顺利,产时血压最高达160/110mmHg,给予心痛定一粒舌下含服,产后回病房后监测血压在100-140/70-90mmHg之间波动。6月7日5点多头痛明显,急查头部CT提示:右侧额颞顶部硬模下血肿。请神经外科急会诊,建议转专科治疗。转外科后,患者意识障碍加重,6月8日17:30时急诊全麻下行“右侧开颅硬膜下血肿清除+去骨瓣减压术”,术后转重症医学科。稳定后拔除气管插管后转回专科,行抗感染、止血、神经营养、脱水治疗,定期换药及CT复查,后出现癫痫发作,给予抗癫痫治疗。6月13日患者癫痫发作后呈持续状态,药物控制不理想,故转入ICU进一步监护治疗。患者神志昏迷,给予持续泵入丙戊酸钠、咪达唑仑控制抽搐,适当脱水、抗感染、营养支持及对症处理,并及时复查相关检查。患者癫痫控制后于17/6日顺利拔除气管导管。于17/6日再次癫痫发作1次,很快缓解。转神经科继续治疗:患者神志清楚,精神、食欲一般,诉左侧肢体无力伴麻木,无抽搐发作,右侧肢体肌力尚可,左侧肢体肌力3级。肌张力不高。继续给予抗癫痫、适当抗感染、肢体康复训练及对症支持治疗,一周后行颅脑MRI:未见明显异常;查体:心肺听诊(-),腹软,压痛反跳痛,双下肢无水肿,右侧肢体肌力尚可,左侧肢体肌力5级-,病理征(-),给予办理出院。







见上述。
见上述。
随访:患者康复良好。
讨论:本病例中,右侧额颞顶部硬膜下血肿和妊高症二者哪个与癫痫发作的关系密切些?本病例如何下诊断更客观?欢迎大家讨论哈。


患者产前产后血压基本维持在正常水平,尿蛋白阴性,癫痫可能与额颞部出血相关性大,双侧基底节区对称行钙化有可能是Fahr综合征,为遗传性疾病,家族是否有类似病例?
外出逛街出现自觉头晕头痛,予解痉等治疗后,症状有没有缓解?术中血压没有控制好,可能诱发了硬膜下血肿,进而出现癫痫。
近三代无类似病例。
解痉治疗后症状有一定缓解。产程中血压波动是硬膜下血肿形成的可能诱因,但是为什么在产后3天才发生出血呢?
孕期血压基本正常,产后出现的症状是否是存在脑血管畸形?
不好意思,病例中不小心写错了一个地方:出院前检查的是MRA,无明显异常。