打开应用肺萎陷及肺不张后气胸
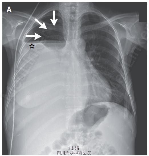
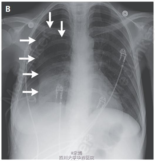
患者为46岁女性,呼吸困难就诊,患者因终末期肝病出现复发性肝性胸水,需要反复胸腔穿刺。胸部检查发现右肺无呼吸音。胸片显示液气胸(图A,箭头显示气胸,星号显示液胸)。遂留置猪尾导管引流胸腔积液,但气胸仍持续存在(图B,箭头)。

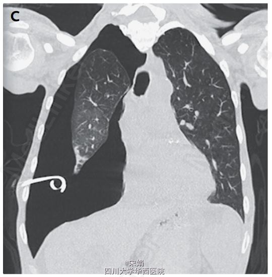
胸部CT扫描发现肺萎陷(伴脏层胸膜增厚,且无气管内梗阻表现(图C)。

此例患者接受了胸腔镜下脏层胸膜剥脱(decortication)及胸膜固定术(pleurodesis),右肺最终完全复张。

肺萎陷是由于慢性炎症过程造成脏层胸膜纤维素性增厚,从而影响肺的复张。顺应性很差的肺与壁层胸膜分离,胸膜腔内充满液体,导致液气胸。由于肺无法复张,因此引流胸腔积液后会导致肺不张后气胸。一旦造成肺不张后气胸的其他病因如气管内梗阻被排除后,可以通过手术治疗肺萎陷,手术去除脏层胸膜纤维素板,以便肺的复张。DOI: 10.1056/NEJMicm1404964

图片很清晰
谢谢分享!图文并茂,解释明了,很方便大家学习。肝性胸腹水顽固难处理,本例提供了一个较好的治疗方法,不知这种方法治疗后对肺部有何影响?
谢谢楼主分享,该例肺萎陷在引流胸腔积液后仍不能复张,可能肺组织广泛纤维化,纤维收缩所致。患者纤维素板形成的原因是?肝硬化引起的胸水应该是漏出液,蛋白含量低;是由...查看全部
感谢分享,提供的图片十分清晰,也有具体标记,病例思路也十分清晰,是个让人赏心悦目的病例。长期液气胸都会导致肺萎陷吗?
谢谢分享,很好的病历,长期胸腔积液导致的脏层胸膜的增后导致肺萎缩,肺不张后的气胸,只能选择手术胸膜剥离,如果早起发现胸水脓胸早期抽液,抗炎,手术去除脓肿也不会最...查看全部
感谢分享,很好的病例,学习了。
其实还是没大懂气胸原因是什么?牵拉所致?
患者反复出现胸水并反复排液亦会导致胸膜增厚,长期反复会在肺表面形成膜性纤维板,导致肺无法复张,还有出现气胸的原因是否与操作有关呢,单纯肺不张不会出现气胸的
这种病例比较少见,谢谢分享。手术做法有点儿象结核性脓胸的治疗。
很精彩的病例,图文并茂!患者是因为肝病引起的胸水,从而导致后面一系列的改变,如果患者肝病没有得到治疗,患者胸水、气胸等情况是不是会反复出现?
感谢楼主的分享,图片标记很清晰,该患者是否应肝硬化引起的胸腔积液,除了对症治疗外,还有什么针对原发病根治的好的办法吗?
好像不是原创的病例吧?貌似在哪里看过…这种气胸应该是液体引流之后气体置换所致,因为肺不能复张,其空间必然要有东西充填,不是气体便是液体了。
我理解该病例实际上类似脓胸,称气胸不太准确,因为并不是外界的气体通过各种肺、纵隔或胸壁等破口进入封闭的胸膜腔所致,是由于大量胸腔积液时间长后纤维素覆盖、束缚肺脏...查看全部
上面少了两个字,是肺膨胀不全