打开应用挤压致右拇指近节指骨骨折
骨科
陈医师

中山大学附属第三医院
主诉 病史
患者,男性,32岁。钢条挤压致右拇指肿胀、疼痛1小时。患者1小时前被滑脱的钢条挤压右拇指,导致右拇指肿胀、疼痛,活动受限,于我院急诊就诊行X线检查示右拇指近节指骨骨折,拟“右拇指近节指骨骨折”收入我科。
查体 复查
右侧拇指肿胀、淤青,皮肤表面可见一细小挤压伤痕,无渗血,触痛明显,可触及骨膜擦感。
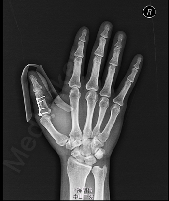
右拇指正侧位示:右拇指近节指骨中段可见斜行骨折线影,骨折两端明显成角及错位,其周边软组织肿胀;


诊断 治疗
入院后完善相关检查,无明显手术禁忌,行右拇指近节指骨骨折切开复位内固定术,术程顺利,术后镇痛、改善循环治疗,并加强手术伤口换药。


随访 处理
手指的灵活性对于生活质量来说还是很重要的。因此指骨骨折的治疗,首要点还是要给与足够的重视。手术处理既要达到准确地复位,又要达到牢固地固定,更要尽可能早地进行功能锻炼,以恢复手指灵活的活动功能。
相似病例推荐
拇指近节指骨骨折
2015-12-30阅读量:14110

右示指近节指骨骨折
2015-12-25阅读量:13261

手指挤压伤指骨骨折一例
2018-11-21阅读量:4473
共6评论最早评论
寻阳
华中科技大学同济医学院附属协和医院
感谢分享病例,根据X线检查结果,患者右拇指近节指骨骨折诊断明确。手术非常漂亮,不知道拇指骨折愈合需要多久?内固定是否需要取出?术后坚持功能锻炼,祝早日康复。
2015-07-11 09:24
欧阳毅
陕西省渭南市大荔县太平骨科医院
感谢病例的分享,拇指对于手的功能来说实在太重要了,应该积极去恢复拇指的功能。请问一下,该病例可否单纯通过夹板或者石膏外固定来治疗?
2015-07-11 12:32
柯培中
南方医科大学第三附属医院
患者挤压伤,能够尽早手术对患指的恢复非常重要。该患者行钢板固定术后影像不错,为何不考虑克氏钉固定呢
2015-07-11 12:53
吴桐
华中科技大学同济医学院附属同济医院
患者受伤机制明确,X线骨折移位明显,内固定术处理得很好,要注意术后康复恢复。
2015-07-11 19:17
田文科
陕西省麟游县医院
手术处理很好,谢谢分享!学习了!
2018-08-28 15:12
没有更多数据了