打开应用胸椎恶性肿瘤1例
骨科

戴医师

山东中医药大学第二附属医院
主诉 病史
患者,女,38岁,因“右肩背部疼痛2月”入院。
患者2月前无明显诱因下出现右肩背部疼痛,不剧可忍,伴颈部放射痛,偶有右上肢麻木。
查体 复查
PET-CT:右肺肿块,考虑周围型肺癌,右肺门及纵膈多发淋巴结转移,T1及T2椎体及右侧附件骨转移;左颈部肿块针吸穿刺病理:转移性腺癌.

诊断 治疗
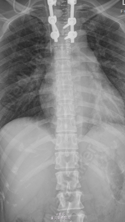
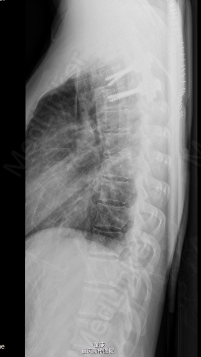
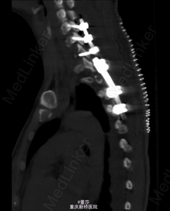
初步诊断:1.胸椎肿瘤:转移癌/肺恶性肿瘤。全身麻醉下行“胸椎恶性肿瘤后路肿瘤切除,椎管减压、内固定术”,术中予椎体内填充骨水泥,C5,C6,C7各打入一枚颈椎侧块螺钉,T3、T4两侧各打入一枚椎弓根螺钉,C臂机透视提示螺钉位置可。



随访 处理
术中冰冻:胸1,2椎肿瘤(2):显著增生的纤维结缔组织内有少量异型细胞,考虑转移性低分化腺癌。术后予锋替新2.0g ivgtt bid预防感染及镇痛,补液改善循环,促进愈合治疗等对症治疗。术后复查胸椎片:颈、胸椎后路术改变,术后内固定在位,胸1、2椎体内见高密度影。胸椎顺列。所见椎间隙无殊。

相似病例推荐
胸椎恶性肿瘤
2018-04-10阅读量:6108
腰椎恶性肿瘤1例
2015-06-20阅读量:5365

结肠恶性肿瘤1例
2015-02-10阅读量:4351

共0评论最早评论
没有更多数据了