打开应用上颌前部埋伏牙
口腔科

刘医师

山东大学口腔医院
主诉 病史
青年女患者,患者于1周前咨询正畸治疗,拍片发现上颌前部埋伏牙,建议拔除,今为进一步治疗来我院就诊,建议同期拔除38、48阻生牙
查体 复查
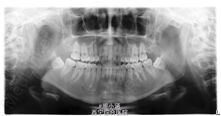
全景片示:11,21,根方可见一埋伏牙13,38,48近中阻生

诊断 治疗
1.右上前牙区埋伏牙13 2.38、48阻生齿
随访 处理
正畸患者,发现埋伏牙一般会拔除,其余偶然发现的,可能不予处理
相似病例推荐
上颌埋伏牙
2018-05-02阅读量:7666
上颌前部骨内埋伏牙
2016-06-14阅读量:5822
埋伏牙
2015-07-31阅读量:4183
共3评论最早评论
匿名用户
为什么不考虑正畸把牙齿牵出呢,那该病人是修复尖牙形态还是保持现在牙数量
2015-06-19 23:06
匿名用户
谢谢分享这样的病历,开了眼界,从各个角度详细的记录了病治疗的全过程,效果很好。
2015-06-20 09:34
匿名用户
谢谢楼主分享这样的病历,只是如果偶然间发现的阻生牙,怎么办?观察吗?
2015-06-23 01:44
没有更多数据了