打开应用一例可疑曼氏裂头蚴感染
男 ,49岁,专业技术人员
主诉:发作性右侧肢体抽搐、意识不清6天余。
现病史:患者缘2015-05-21 14:30左右工作时出现右侧肢体乏力,继而出现右侧肢体及右侧颜面部抽搐,表现为右侧上肢屈曲、下肢伸直、口角右歪,随机跌倒在地(前额着地),双眼向上凝视,面色发乌,伴牙关紧闭、舌咬伤,无意识不清、口吐白沫,无大小便失禁,持续约10分钟后自行缓解,发作后感疲乏。遂由120送至就近医院就诊,行头颅CT平扫未见明确异常,予对症处理。2015-05-25 23时许患者于睡眠中突发右侧肢体及颜面抽搐,症状同求,伴意识不清,持续3分钟后自行缓解,5分钟后再次出现类似正常。1小时内发作与缓解交替。患者送至当地急诊科,测血压190/110mmHg,予“安定、甘露醇”等药物治疗后入院,患者在医院醒来时不知自己身处何地,感全身乏力。入院后患者出现低热(具体不详),间断出现2次右侧肢体抽搐,持续数秒;头颅MR提示“左额叶、枕叶病变考虑感染性病变可能性大(曼氏裂头蚴感染?)”。诊断“症状性癫痫、颅内寄生虫感染?糖尿病”,予改善循环、控制血糖、抗血小板聚集等治疗。后为进一步治疗收入我院。近2月记忆力较前下降,主要为近记忆力下降,精神稍差,性格改变,与家人沟通明显较少。
既往史:有“高血压”病史4年余,未规律降压治疗;半月前住院期间发现“糖尿病”;2015年4月在外院诊断“肋间神经痛”,给予药膏外涂,现无疼痛。否认“冠心病”病史,否认“肝炎、结核”病史,否认手术及重大外伤史,否认输血史,预防接种史不详。
个人史:生于原籍,来广州多年,从事水电维修工,无血吸虫疫水接触史;2015年4月曾回当地进食“田螺、黄鳝”,有蚊虫叮咬史,否认食鱼生史,否认吸烟、饮酒史,否认冶游史。
婚育史及家族史无明显异常。
T 36.5℃,P 78bpm,R 20bpm,BP 120/65mmHg。
一般情况及心肺腹查体未见明显异常。
神经查体:双侧额纹对称,右侧鼻唇沟变浅。口腔舌位居中,伸舌右偏。双上肢及右下肢肌力5级,左下肢肌力5-级。腱反射正常。共济实验阴性。左侧巴氏征可疑阳性,余病理征阴性。
辅助检查:
血常规、大便常规(-);尿常规:U-Glu ++;BPG 11.66,CRP 9.7;ESR 30;Hba1c 11.4%。结核抗体、乙肝、梅毒、HIV检查正常。AFP、CEA正常。
大便 JCSY(-)。
脑脊液常规 WBC 2.0,L 100%;生化 glu 5.99,pro 0.26 ,Cl 125.隐球菌、细菌、抗酸杆菌、真菌涂片阴性,细菌培养阴性。
血清寄生虫全套:血吸虫IgG可疑阳性,脑脊液寄生虫全套未见异常。
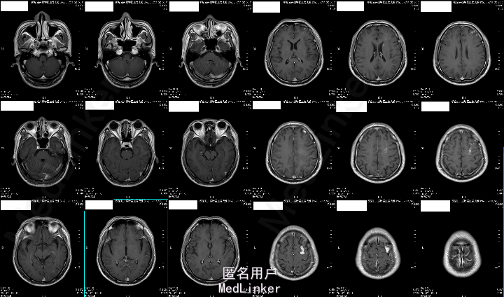
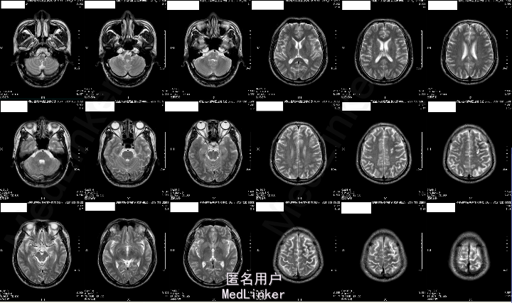
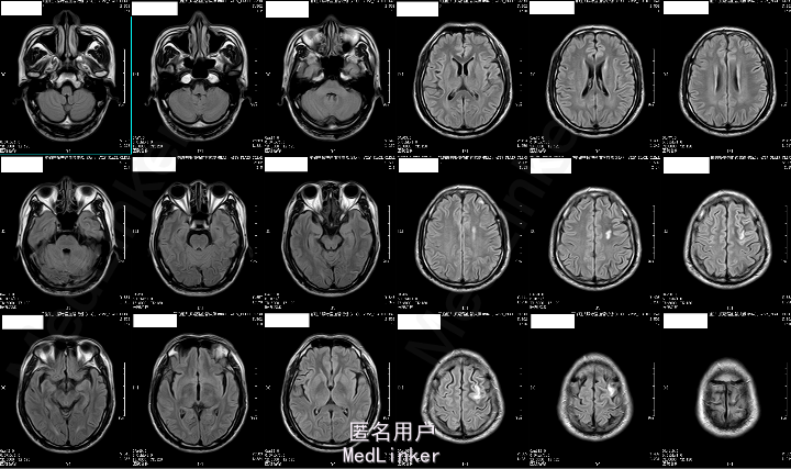
2015-05-26外院头颅MR:1.左额叶、枕叶病变考虑感染性病变可能性大(曼氏裂头蚴感染?)2.双侧上颌窦、筛窦慢性炎症。
2015-6-01我院头颅MRA:1.左侧额叶、枕叶及左侧基底节尾状核多发异常信号,考虑寄生虫感染(曼氏裂头蚴感染?)可能性大;2.左侧大脑前动脉A1段起始部稍狭窄;3.双侧筛窦炎症。





诊断:1.症状性癫痫;2.颅内寄生虫感染?;3.高血压病3级 高危组;4.2型糖尿病;5.脂肪肝。
患者今年4月份时有吃“田螺、黄鳝”病史,既往有“高血压、糖尿病”,未规律治疗,结合其临床表现及头颅MRA“钻隧道”样改变,目前考虑“曼氏裂头蚴感染”可能性大。
脑裂头蚴病(cerebral sparganosis)是曼氏迭宫绦虫的幼虫——曼氏裂头蚴寄生于人脑内所形
成的中枢神经系统寄生虫病。I临床较为少见,易误诊。一般认为感染该病的途径有以下几种:食生或半生的蛙肉、蛇肉等(含裂头蚴);带有伤口的皮肤敷贴感染的生蛙皮、蛙肉等;饮用了含剑水蚤的生水。脑裂头蚴病的临床表现因感染部位的不同而各异。多以头痛、癫痫大发作及肢体活动障碍等为主,严重者可致颅内高压、视力损害、意识障碍甚至突然死亡。脑脊液检查可有蛋白及细胞数轻度升高。儿童脑裂头蚴病的病程一般不长,有些因虫体的迁延,其症状和体征也会发生改变。该病影像学表现多为单侧受累的单发病灶。病灶多位于皮质,也可侵犯脑室、脑干和小脑。活的虫体在脑内活动形成隧道、虫体分泌的产物及虫道周围的炎性反应使得该病影像学上具有一定特点:(1)主病灶一般较小,直径小于2 cm;(2)局部常伴发炎性反应,病灶周围脑实质可见不规则大片状水肿影;(3)MRI检查多表现为混杂长T1、长T2信号,临近侧脑室可变大,即所谓的“负效应”,增强扫描可见病灶呈匍行管状、串珠状、绳结状、扭曲条索状强化;(4)不同时期的影像学检查,病灶可在不同的部位;(5)CT检查可见点状钙化影,虽脑MRI对于钙化的显影不如CT,但也可表现出不均匀信号。脑裂头蚴病的病理学表现具有一定特点,裂头蚴幼虫在脑内迁徙游走形成坏死隧道,同时释放蛋白酶毒素溶解周围组织引起炎性反应,周围脑组织坏死后,局部炎性细胞浸润和纤维胶质细胞增生形成炎性肉芽肿。肉芽肿内可见有一条或数条虫体,虫体不分节,实体、无体腔,具有特征性的体壁结构是散在分布的椭圆形石灰小体及束状纵行肌纤维,前者可能为虫体的残骸。裂头蚴抗体血清免疫学检查(ELISA法)具有高度的特异性和敏感性。手术摘除裂头蚴为该病最有效的治疗手段,可
完整切除虫体及周围坏死的脑组织,但手术创伤性大。脑立体定向手术即可活检又可同时吸取虫体,创伤性小,尤其对于脑深部病变及重要功能区病变较为理想。单纯应用药物治疗,往往治疗不彻底、复发率高。本例患者病程较长,且经过多次驱虫治疗,脑组织病理检查见典型肉芽肿改变,中心坏死区可见到多个虫体坏死后钙化形成的石灰样小体,术后血清裂头蚴抗体阳性,进一步支持该诊断。术后经驱虫辅以激素治疗后获得了良好的临床治愈效果。该病常需与以下疾病鉴别:(1)结核瘤:是一种较少见的肺外结核。成熟型结核瘤病灶中心为干酪样坏死物,周围伴肉芽肿、炎性胞浸润及胶质细胞增生,增强扫描后也可呈结节样强化;但T2WI像呈典型的“环靶征”、伴有结核感染病史及中毒症状时有助于诊断。(2)脑肺吸虫病:肺吸虫成虫在脑内也可像裂头蚴一样迁徙游走,形成“隧道征”。但裂头蚴虫体较细长,“隧道征”较长而迂曲,更像缠绕的“绳结”;脑肺吸虫也可出现环形强化灶,但环影大小不一、聚而不连,常与肉芽肿结节并存。(3)脑囊虫病:为北方脑寄生虫病最为常见的一种,可为单发或多发的环形强化灶,直径约3~4 mm,其内可见点状头节,周围水肿常轻微,没有新旧病灶共存的特点。(4)脑肿瘤:脑肿瘤多有明显的占位效应;也可表现为环形强化灶,一般直径较大,且随病程有增大的趋势。而脑裂头蚴病可无占位效应,或表现为轻微的占位效应,甚至出现“负占位效应”;强化灶直径多小于2 cm,病变部位可迁徙变化,病灶无增大的趋势。(引用自 董秦雯,莫亚雄等,脑裂头蚴病一例并文献复习,中华神经免疫学和神经病学杂志[J],2014,21:94-97)
学习了,谢谢分享
裂头蚴可在体内移行,并侵犯多种组织器官,并进而侵犯脑组织,患者的病因的确很可能是这种寄生虫引起,如果需要明确诊断用粪检虫卵确诊
谢谢病例分享,学习了。寄生虫感染中的两大损伤一就是移行,再就是虫体诱发的免疫性反应,而这两种损害可以累及任意部位,临床可以有各种各样的表现,增加了诊断的难度。
感谢楼主的病例分享,寄生虫感染在日常的诊疗过程中经常被忽略,裂头蚴可在体内移行,并侵犯多种组织器官,产生的症状远较成虫严重。
昨天刚看了一例脑囊虫死亡的患儿,一般表现都是惊厥,头痛,遇到这种表现的患者一定要留意
谢谢分享。很多颅内寄生虫都以癫痫发作为主要症状。虫卵检查都不太能出现阳性结果。

真是病从口入啊,可是在美食面前很多人都抵挡不住,有侥幸的心理。还是得管好自己的嘴!
病史很关键的,学习了
学习了,分享了!
学习了
学习了
学习了,谢谢分享
学习
学习
学习