打开应用9岁儿童年轻恒牙外伤冠折露髓活髓切断后断冠再接
主诉:
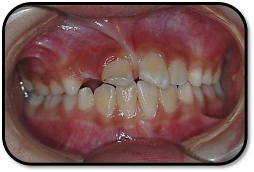
右上前牙外伤冠折21小时。
现病史:
患儿21小时前右上前牙外伤折断,牙齿碰触痛,不敢用前牙进食,否认牙齿松动移位,来诊求治,否认外伤当时昏迷呕吐,意识丧失。


临床检查
患儿自己走入诊室,意识清楚。
颜面左右对称;上唇正中见1×1cm2破溃面,其上覆黄白伪膜,周围粘膜略水肿
口腔卫生差;
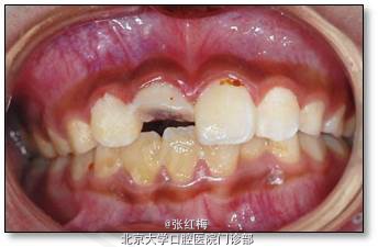
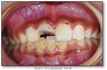
11牙冠龈1/3折断,牙髓暴露约6×1mm2,灰紫色,略有增生,叩(±),不松,龈未见异常,
21牙冠龈1/3釉质横形隐裂,叩痛(-),不松,冷测同正常对照牙,龈未见异常;
11、21正中牙合及前伸牙合未见明显牙合创伤;
X线示:11、21发育9期,根管粗大,未见明显根折线,根尖周未见病变影,骨硬板清晰,未见牙槽突骨折线;
12、22、32、31、41、42叩痛(-),不松,冷测同正常对照牙,龈未见异常
张口度正常
余牙见表。
既往史,家族史:否认特殊
全身情况: 健康





诊断:
11冠折露髓
21外伤牙隐裂
上唇软组织挫伤
治疗计划:
1. 口腔卫生宣教;
2. 11冠髓切断术+断冠再接,牙根发育完成后改行根管治疗,成年后桩核全冠修复;
3. 21粘结剂涂布釉质隐裂,定期观察牙髓状况,不适随诊
4. 嘱近期勿用前牙进食
5. 定期复查。
治疗
1、交待治疗方案,程序,费用,讲明患牙需定期复查,11冠髓切断术+断冠再接,牙根形成后取出牙髓行根管治疗 成年后冠修复,家长同意治疗方案;
2、11碧兰麻局麻,上橡皮障,开活切包,揭顶,去冠髓,生理盐水冲洗,出血可止,活髓保存剂直接盖髓,ZoE+羧汀垫底,自酸蚀粘接剂+复合体充填,抛光。约 日行断冠粘接(断冠交患者保存在生理盐水中),不适随诊,必要时行根尖诱导成形术。
3、21清洁牙面,磷酸酸蚀,single BOND 涂布光照。定期观察牙髓状况,不适随诊。
治疗后两周复查
主诉和现病史:无不适,否认冷热刺激痛,咬硬物痛。
检查:11充填体完好,叩(±),不松,龈未见异常,冷热测同正常对照牙;
21叩(-),不松,龈未见异常,冷热测略敏感,一过性。
口腔卫生较差,牙面软垢菌斑大量
处理:口腔卫生宣教,清洁牙面。
嘱避用患牙咬硬物,观察21牙髓状况。
约两周后复诊。
治疗后一个月复查
主诉和现病史:右上前牙偶有喝冰水时酸痛,一过性。否认自发痛,咬合痛,夜间痛重史。
检查:11充填体完好,叩(-),不松,龈未见异常,X线:11根尖继续形成中,根周膜清 晰;
21叩(-),不松,龈未见异常,冷热测略敏感,一过性。
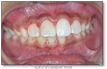
处理:11去旧充填体,11及断片牙体预备(颊侧备斜面,髓腔备固位形,舌侧备排溢道),one-coat bond+纳米树脂粘接断冠,调牙合,抛光。
嘱勿用患牙咬硬物,六个月后复查。




治疗后两周复查
主诉和现病史:无不适,否认冷热刺激痛,咬硬物痛。
检查:11充填体完好,叩(±),不松,龈未见异常,冷热测同正常对照牙;
21叩(-),不松,龈未见异常,冷热测略敏感,一过性。
口腔卫生较差,牙面软垢菌斑大量
处理:口腔卫生宣教,清洁牙面。
嘱避用患牙咬硬物,观察21牙髓状况。
约两周后复诊。
治疗后一个月复查
主诉和现病史:右上前牙偶有喝冰水时酸痛,一过性。否认自发痛,咬合痛,夜间痛重史。
检查:11充填体完好,叩(-),不松,龈未见异常,X线:11根尖继续形成中,根周膜清 晰;
21叩(-),不松,龈未见异常,冷热测略敏感,一过性。
处理:11去旧充填体,11及断片牙体预备(颊侧备斜面,髓腔备固位形,舌侧备排溢道),one-coat bond+纳米树脂粘接断冠,调牙合,抛光。
嘱勿用患牙咬硬物,六个月后复查。
治疗后六个月复查
检查:11粘接断冠完好,叩(-),不松,龈未见异常,冷测有感觉,无疼痛;X线:11根 尖继续
形成中,根周膜清晰
21叩(-),不松,龈未见异常,冷测同正常对照牙。
处理:口腔卫生宣教
嘱定期复查。
治疗后八个月复查
检查:11粘接断冠完好,叩(-),不松,龈未见异常,冷测有感觉,无疼痛;X线:11根 尖继续
形成中,根周膜清晰
21叩(-),不松,龈未见异常,冷测同正常对照牙。
处理:口腔卫生宣教
嘱定期复查。
讨论
1.冠折牙齿牙髓治疗方法的选择。
外伤后牙本质暴露,无露髓孔,使用间接盖髓术;外伤时间在4-5小时内,露髓孔小于1mm且露髓孔表面无严重污染,可使用直接盖髓术;牙外伤露髓孔大于1mm,或时间长于5小时、短于24小时的年轻恒牙可使用活髓切断术;若外伤时间长,牙髓感染已弥漫的年轻恒牙可使用根尖诱导成形术;若恒牙牙根已完全形成,可进行根管治疗术。总之,需根据牙齿的发育时期、冠折的类型、冠折后时间、断面清洁程度选择适宜的治疗方式。
2. 活髓切断术的适应症。
牙髓感染局限于冠髓而根髓未受到受到侵犯的冠髓炎状态时,可用活髓切断术的方法,去除感染的冠髓,保留未感染的根髓,使年轻恒牙的牙根能够继续发育。外伤牙露髓孔大于1mm,或时间长于5小时,短于24小时;龋源性露髓孔较大,但出血颜色鲜红且无自发痛史,X线片观察患牙无根周组织病变者。各种牙髓的弥漫性感染为本治疗的禁忌症。
3. 活髓切断术后的年轻恒牙牙根继续发育完成后是否应行根管治疗:
活髓切断术后患牙的牙髓可能发生牙髓钙化、纤维性变、玻璃样变,故待牙根形成后,应该打通钙化桥,改行根管治疗。
4. 断冠粘接的操作要点:
随着复合树脂材料的改进和粘接材料技术的发展,使断冠粘接技术成功成为可能。其操作方法为:检测牙髓活力和松动情况,除外根折和移位,将断冠复位检查是否密合,估计缺损的大小,确定能否将断冠粘接复位。如确定可将断冠粘接复位,向患儿家长说明后,将断冠保存在生理盐水中,每3天更换1次生理盐水。
先处理牙齿松动,并进行间接盖髓,如需牙髓治疗,应先进性牙髓治疗。待以上处理结束,急性症状缓解后,进行断冠粘接。
先去掉暂时性材料,制备釉质斜面和固位抗力形态,酸蚀,涂粘接剂,用流动树脂粘接两侧断面,釉质斜面和缺损部分用复合树脂修复,去除多余的材料,调牙合,抛光。这只是一种暂时的修复方法,嘱患者不可用前牙咬硬物。
有实验证明:制备唇侧斜面可大大增加断冠粘接处的强度。







- 邱吟妍回复唐德方:介绍得确实很棒。
- 联友56440051回复邱吟妍:很好
特详细的病例,向老师学习
- 王金泉回复杨熙:是否应该降低前牙的接触?
- 杨熙回复裴育滢:哦,确实哈,谢谢你的回答。
- 裴育滢回复罗世高:谢谢分享
- 查看全部14条评论
- 张红梅回复罗世高:应该首选冠髓切断术,有外伤露髓70多小时才就诊活切仍然成功的病例。
- 刘晓可回复吴煜:你好,针对你提出的问题我的看法是,生理盐水能够保证断冠的湿度,能够增强存活率。
很赞,不过要复查要坚持甚至几年后出现吸收而松动的也是有的
树脂修复,但因缺损较大,颜色难以很好匹配,断冠再接的好处是缺损颜色能较好匹配
谢谢!年轻恒牙是指恒牙已萌出,但形态,结构上尚未完全形成和成熟的恒牙。
断片和剩余牙体均需处理
牙髓再生肯定不如冠髓切断,毕竟原来就有牙髓为什么要拔掉等新的长出来呢
是乳牙用的氢氧化钙活髓保存剂,不是MTA,MTA可能导致前牙变色。
有唇面洞缘斜面和舌侧固位沟排溢道增强固位。如果牙根做了根管治疗后断冠再接可以采用根管内固位,关键是看空间够不够。
哦,确实哈,谢谢你的回答。
哦,又学到了,谢谢你。
断冠再接后要调合,确保无咬合高点和干扰。本身断冠再接目的是患儿不能做全冠修复前的过渡修复,以恢复美观,保持与临牙和对合牙的位置,防止临牙移位和对合牙伸长。
学习了
学习了
很好很完整的病例,利用折断牙冠进行粘接,过渡修复,可以保持其间隙不被邻牙或者对颌牙占据,同时恢复了美观。利用树脂其实也可以实现,但有时候会发现塑形没有那么好,比...查看全部
很精彩的病历,
请问张老师为什么断冠需泡在生理盐水中?
很赞,不过要复查要坚持甚至几年后出现吸收而松动的也是有的