打开应用深龋及牙髓炎的危害
口腔科
西安

西安碑林和美口腔诊所
主诉 病史
右上后牙冷刺激不适数月,近日加重
查体 复查
16近中颊部龋损,探深及龈下1mm,颌面白色充填物,冷(+) 松动(-) 叩(-)
17颊侧大面积龋损,缺损及龈下2mm,探(++) 叩(+) 冷(++) 松动(-)
45远中龋损,探(+) 冷(+) 松动(-)
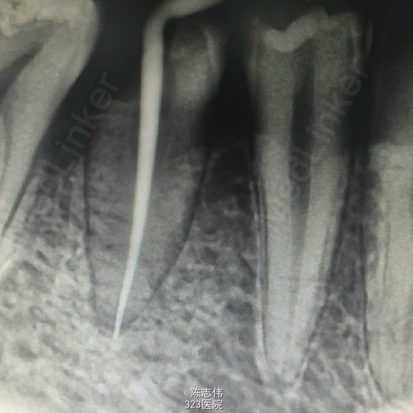
x线示:16龋损近髓
17,45缺损及髓,根尖无明显异常
诊断 治疗
印诊:16深龋
17,45慢性牙髓炎
建议:16充填治疗,若露髓则行RCT
17,45RCT+桩+冠
处理:局麻下16,17,45去龋,16龋净未露髓,清理干燥隔湿后垫底+3M树脂充填。17,45揭开髓室顶,丁香油棉开放,降颌








随访 处理
后期治疗患者无不适
相似病例推荐
牙髓炎及深龋的治疗
2015-05-21阅读量:6863

17牙深龋伴牙髓炎
2017-07-20阅读量:5871
深龋致牙髓炎
2017-02-14阅读量:5206
评论精选
吴珊姗
中国人民解放军空军军医大学九八六医院南区
共13评论最早评论
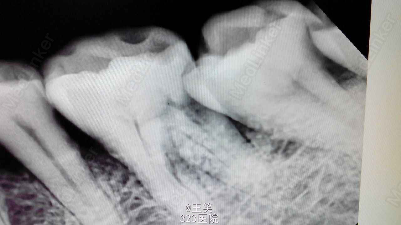
- 王凌回复美雅:根管很漂亮
- 美雅回复张景元:谢谢分享,45是不是稍微有点欠充呢?而试尖片看起来是不是有点超啊
- 张景元回复宋伟颉:谢谢分享这么完整的病例!根管治疗做得很漂亮,讲解也很到位,个人觉得根管之后还是需要进行冠修复,才能保证咬合功能不受太多影响!
- 查看全部10条评论
吴珊姗
中国人民解放军空军军医大学九八六医院南区
根管做的好漂亮啊,佩服啊!
2015-06-03 10:19
西安碑林和美口腔诊所口腔科
西安碑林和美口腔诊所
已做冠修复,只不过没有照照片
2015-06-03 10:19
西安碑林和美口腔诊所口腔科
西安碑林和美口腔诊所
已检查,可以保证边缘的密合
2015-06-03 10:19
没有更多数据了
根管做的好漂亮啊,佩服啊!