打开应用右肺下叶结核球伴毁损一例
血液内科
王医师

西安市中心医院
主诉 病史
患者为43岁女性,因“咳嗽咳痰伴胸闷、气紧4+月”入院。患者4+月前无明显诱因出现咳嗽咳痰,伴胸闷气紧,外院行相关检查后诊断为“肺炎”,予抗感染治疗20天后无明显缓解。遂于我院就诊。


查体 复查
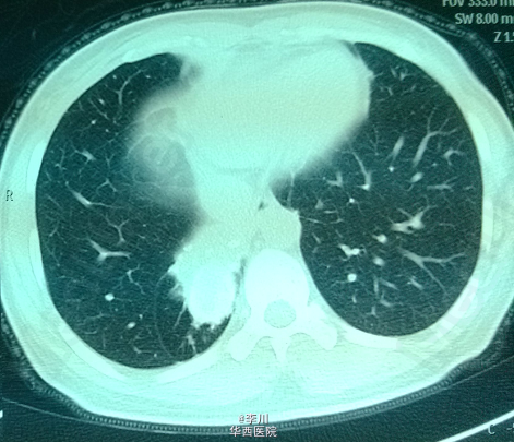
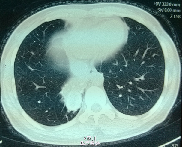
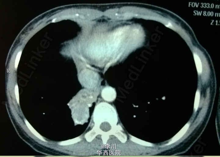
查体:双侧锁骨上淋巴结未触及肿大。视:双侧胸廓对称,未见畸形,双肺呼吸动度对称。触:触觉语颤对称,未触及胸膜摩擦感,心尖搏动位于左锁骨中线,未见异常搏动。叩:双肺叩清音,双肺活动度对称。听:右下肺肺呼吸音低,未闻及干湿罗音及胸膜摩擦音,心前区未及病理性杂音。我院胸部CT示:右肺下叶不规则片团影,伴右肺下叶不张。

诊断 治疗
术前诊断为右下肺结核球。于全麻下行右肺下叶切除术。术中取出病灶,可见干酪样坏死。术后病理确诊为肺结核病灶。术后患者恢复可,仍需抗痨治疗。


随访 处理
外科治疗肺结核其目的是切除损害严重的结核病源,或使病变肺组织萎陷,促进其愈合。其手术治疗适应症包块内科治疗无效、有严重并发症、后遗症,大咯血等等。
相似病例推荐
右肺下叶陈旧性肺结核致毁损一例。
2015-11-29阅读量:4091

右肺下叶占位病变
2017-12-21阅读量:3409
右肺下叶占位空洞一例
2018-07-26阅读量:3196
评论精选
曹欢易(暂停执业)
中山大学附属第三医院
共11评论最早评论
- 吴进林回复付志平:这种抗痨用什么方案?
- 付志平回复曹欢易(暂停执业):结核肺部病灶切除术的手术适应症是什么标准?
曹欢易(暂停执业)
中山大学附属第三医院
她没有其它部位的结核表现么?
2015-06-03 10:19
李川
四川大学华西医院
没有,这是她抗痨治疗后的情况
2015-06-03 10:19
李川
四川大学华西医院
结核瘤经规则抗结核治疗18个月,痰菌阳性、咯血者;结核菌不能除外肺癌者;结核瘤直径大于3厘米,规则化疗下无变化,可作为手术相对适应症。
2015-06-03 10:19
李川
四川大学华西医院
3联方案就可以了
2015-06-03 10:19
匿名用户
现在这样的肺结核还是很多见,死于肺纤维化的也很多
2015-06-22 16:25
曾军
郓城县李集镇中心卫生院
学习
2017-10-14 11:25
薛连秀
凉城县医院
学习
2017-11-17 17:47
薛连秀
凉城县医院
学习
2017-11-18 20:12
刘瑛
大同煤矿集团有限责任公司肿瘤医院
谢谢分享!
2018-03-11 20:43
没有更多数据了
她没有其它部位的结核表现么?