打开应用膝关节色素绒毛结节性滑膜炎伴股骨骨缺损1例
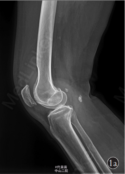
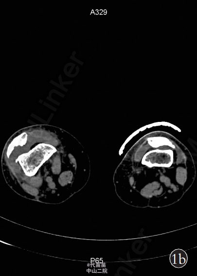
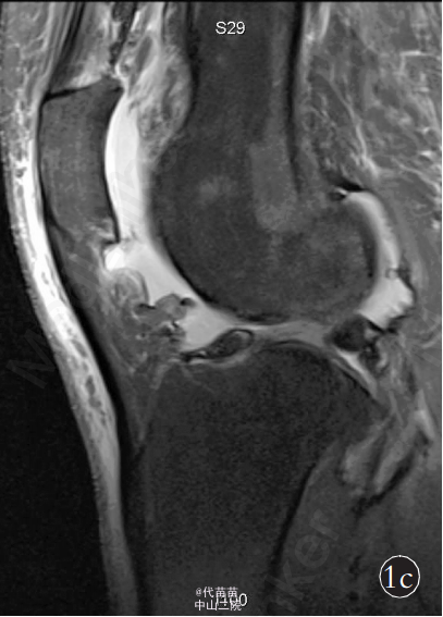
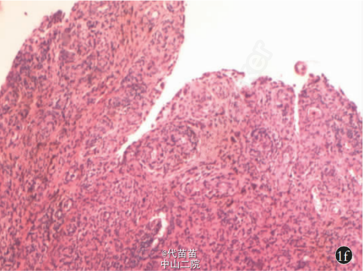
患者,女,70岁 。主因右膝关节间断性疼痛4年,加重2个月入院。患者自诉4年前无明显诱因出现膝关节间断性疼痛,活动时疼痛加重,休息后症状缓解,同时伴有右膝关节肿胀,膝关节活动时弹响症状明显,无夜间痛,未系统治疗。近2个月来患者疼痛症状逐渐加重,不能完全蹲下,并出现右小腿轻度肿胀。患者既往体健。查体:右膝关节肿胀,无发红及包块。右膝关节间隙按压痛阳性,浮髌试验阳性,髌骨摩擦试验阳性,右膝关节活动度:0°~130°,右下肢肌力Ⅳ级,其他检查未见异常。 影像学检查:X 线片示右侧膝关节不对称性变窄,关节面硬化,边缘可见唇样骨质增生,股骨下端凹槽样改变,边界较清楚,无骨膜反应,髌骨呈槽沟样改变(图 1a)。 右膝关节 CT 示右侧髌骨较薄,髌骨关节面锯齿样改变(图 1b)。MRI检查示膝关节腔内液体增多髌上囊内可见低信号影(图 1c)。为排除肿瘤及感染的可能性,进一步行实验室检查:血常规、ESR、CRP 及碱性磷酸酶以及 ECG 检查均未见异常。完善相关检查后, 择期行全膝关节表面置换术及滑膜清理术。为防止术后股骨缺损处出现病理性骨折,考虑选用制定型膝关节假体(股骨假体柄加长)。术中见:膝关节髌上囊内有大量陈旧性积血(图 1d),滑膜增生肥厚,股骨远端髁部上段可见轮廓清楚的凹陷性骨侵蚀面,股骨及胫骨骨赘形成,股骨髁及胫骨平台关节面软骨破坏,股骨外侧髁破坏严重,部分软骨下骨外露, 髌骨外侧变薄, 髌骨关节面有沟槽样凸凹不平(图1d),软骨面破坏,外侧较重,软骨下骨外露。 术中将病变关节囊及滑膜送检病理,快速病理回报:色素绒毛结节性滑膜炎可能性大。 术中彻底切除髌上囊、滑膜、髌下脂肪垫及半月板,切除胫骨表面、前十字韧带及后十字韧带,处理股骨髁,矫正 FTA 角为外翻 5°,安装 Depuy 公司 2 号股骨假体加长柄及2 号胫骨假体,胫骨假体上安装 8 mm 垫片,复位关节。检查内外侧软组织平衡良好,功能活动良好,此时行髌骨成形术,修理髌骨后见髌骨活动轨迹差, 缝合前向关节腔内软组织注入镇痛药物。 术后右侧膝关节侧位片示:假体固定位置良好,股骨加长柄通过股骨皮质缺损区(图 1e)。 术后病理诊断:色素绒毛结节性滑膜炎(图 1f)。 术后 24 h 拔除负压引流,伸直位
固定 1 周。术后第 1 天开始行功能锻炼,患者右膝关节疼痛逐渐消失,恢复正常的生活能力,术后随访 13 个月,无复发。
股骨干髁上前侧骨皮质缺损其 X 线 特 征为:股骨干髁上前侧骨皮质凹槽样改变。 这种病例临床上罕见,多发于关节软骨钙质沉着病、髌骨软化症、髌股关节骨关节炎、滑膜肥厚症等。对于股骨干髁上前侧骨皮质缺损的原因至今并未明确。主要倾向两种原因:髌股关节炎和髌上囊压力。
本例患者合并有膝关节色素沉着绒毛结节性滑膜 炎。色 素 沉 着 绒 毛 结 节 性 滑 膜 炎 是一种少见的滑膜增殖紊乱性疾病,常发生于膝关节,病因不明。PVS 可侵蚀滑膜、髌上囊、肌腱及骨,导致滑膜肥厚、髌上囊肿胀、骨关节破坏及关节面下骨囊性变。
本文报道的患者,从影像学检查及病理切片所见,右侧髌股关节面骨质破坏较重,髌骨有凹槽样改变,髌骨上缘也有较多较硬的骨赘形成,PVS 已累及髌上囊,髌上囊饱满,内有陈旧性积血,压力较高。 鉴于患者年龄较大,很难确定患者髌股关节炎是原发的,还是因为继发的;也很难确定股骨干髁上前侧骨皮质缺损是因髌股关节炎造成的, 还是因为色素绒毛结节性滑膜炎侵犯髌上囊,导致髌上囊压力较高造成的,或是色素绒毛结节性滑膜炎直接侵犯骨造成。 鉴于骨皮质缺损区骨皮质位于前外侧且较为光滑,笔者认为当膝关节伸直时,锋利的髌骨骨赘向股骨外侧推挤,摩擦股骨髁上骨皮质;同时挤压髌上囊,造成髌上囊压力进一步升高,压力传导至股骨髁上。如此长期反复的摩擦和挤压造成股骨髁上前侧骨皮质缺损。
治疗及预后: 膝关节色素沉着绒毛结节性滑膜炎通常分为两类:局限型和弥漫型。 通常对于病变较小的局限型多采用关节镜下滑膜切除术, 对于病变较大的局限型及弥漫型多采用关节切开全膝滑膜切除术 。
鉴于本例患者合并严重膝关节面和髌骨关节面破坏 ,以及股骨干下段髁上前侧骨皮质缺损, 因此选择全膝关节表面置换术、全膝滑膜清理术。 由于普通股骨假体的柄较短,股骨磨损区正位于假体与正常骨质交汇处, 而股骨下段磨损区骨皮质较正常骨质薄,发生骨折的几率较正常高,因此在股骨侧假体选择上,选用加长柄股骨假体,减少股骨下段骨磨损区应力,降低骨折风险性。 本例患者术后膝关节功能良好,疼痛症状明显好转,无复发,效果好。治疗不足之处:考虑到患者髌骨较薄,无法行髌骨置换术,因此患者只行髌骨修理术,修理后的髌骨关节面仍不光滑且呈凹陷状,因此术后髌骨轨迹差。







转自文献DOI:10.3969/j.issn.1003-0034.2012.12.014
色绒导致的骨缺损可不可以行病灶清除术后然后单纯行植骨呢?
色绒虽然不是肿瘤,但它有着肿瘤的特性,而且关节镜下难以完全切除,所以容易复发。请问行关节置换的话复发率高吗?术后是否有行放射治疗?
谢谢分享,绒毛结节性滑膜炎对骨质的破坏非常严重。膝关节镜下清理后可以长期服用甲氨蝶呤等药物。或者行放射性核素关节腔注射来治疗