打开应用日光性角化病致皮角
皮肤性病科

张助教

南方医科大学南方医院
主诉 病史
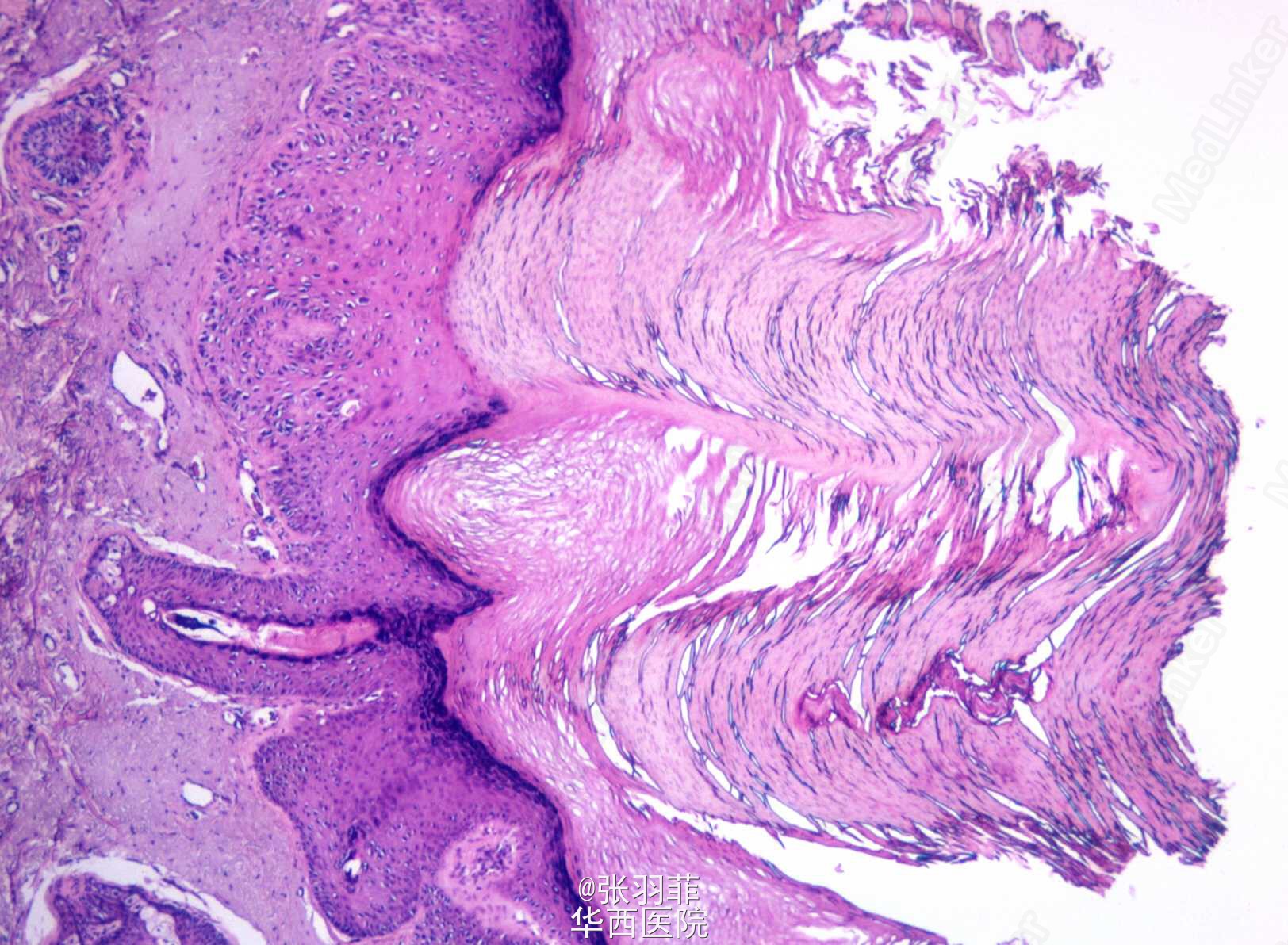
日光性角化病是日光相关的角化异常,主要发生于暴光部位,皮损为褐色角化性斑片,表面覆以不易剥离的黑褐色鳞屑。一般认为是癌前病变,有恶化鳞癌的可能。
而皮角是一种形态学诊断,也被认为是癌前病变,多发生在某些皮肤病如脂溢性角化病、日光性角化病的基础上,由于病损处角质物异常增多而形成突起状角化性皮损,形似动物的角。


相似病例推荐
日光性角化病一例
2016-02-25阅读量:7228
Bowen 病并皮角
2018-04-03阅读量:4742
日光角化并发鳞状
2020-03-06阅读量:1387
共2评论最早评论

王凤泽
空军军医大学口腔医学院
图片很清晰的展示了疾病的表象,不过这应该怎么治疗呢,会不会只是暂时性的,后来就恢复正常呢?有没有随访的结果呢?
2015-09-30 21:11
韩业龙
枣庄市山亭区凫城卫生院西滴水卫生室
学习啦,非常好,
2017-06-23 10:03
没有更多数据了