打开应用先天多重耐药结核杆菌感染一例
一位母亲在孕末期出现呼吸困难,她认为是怀孕负担过重导致的,没有就医。患儿出生后没有接种BCG疫苗,出现了持续的支气管肺炎,给予阿米卡星和氨苄西林治疗7日后出院。
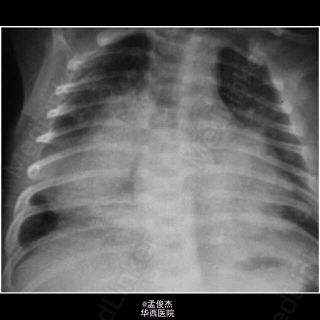
患儿母亲在2天后因为上腹痛和胸骨后痛入院。体温最高40℃,呼吸音减弱。平片显示如图1,痰液抗酸染色为阴性。使用氨苄西林和庆大霉素治疗无效,患者开始意识不清。换用抗结核药物15天后出院,2天后再次因为呼吸困难入院,HIV检测阴性,粪便和尿液抗酸染色阴性,痰培养TB阳性,继续抗结核治疗。
与此同时,婴儿出现咳嗽发热呼吸困难,出生第40天入院,呼吸64次/分,肝脾肿大(肝下6cm)。平片显示双侧肺片状影,心包轮廓模糊。脑脊液分析显示淋巴细胞增多(39% 单核, 61%中性粒),蛋白增多,葡萄糖正常,抗酸醇细菌阴性,但是在尿液粪便胃液中呈阳性。给予抗结核治疗后,肠胃胀气明显,腹部超声示腹水和膨胀的肠襻,取胃液做药敏试验。9天后患儿出现耳道脓性分泌物,抗酸醇细菌阳性,患儿气喘逐渐加重,氧饱和度84%。给予万古霉素和美罗培南治疗,患儿在2个月2天时死亡,死亡当天药敏试验报告示对异烟肼和利福平耐药。
患儿母亲在入院66天时出现头痛,右侧肢体麻木。脑脊液检查显示结核性脑膜炎。随后头痛加重,行脑室腹膜分流术以减轻脑积水。细菌分型显示母子两人感染同一株细菌,患儿的菌株对二线药敏感,对链霉素,卡那霉素耐药。


学习
先天性还是少见
为什么没有做个ct检查?
少见
是不是结核病人又多了?
确实好少见啊,患儿在胎儿时期就已经感染了结核杆菌,而且对异烟肼,利福平耐药,确实很棘手。若是对孕期的母亲及时进行抗结核治疗,效果是否会有所改善呢?
谢谢分享,好罕见的病例,患儿是宫内感染的吗?这种情况真的挺少见的,学习了。
这个确实很少见,学习了
现在还有这么严重的结核感染,真的是很少见的,围产期极为特殊,用药也很麻烦,如果发现孕期感染,是否能采取什么方法降低母婴传播的风险呢
比较少见啊
可以用免疫球蛋白提高免疫力、考虑用中医,中医治疗结核杆菌不难,难的是辩证精确、四川有位医生如卢崇汗、结核用中医不会死亡
如果是寒证:用:附子干姜甘草猫爪草五灵脂蜈蚣大枣
如果是热证用:生半夏生姜栀子守宫猫爪草陈皮牛大力桂枝尖
谢谢分享
学习