打开应用

3家医院诊断双胞胎,为何只生出一个?

申医师   平定县人民医院
双胎妊娠 死亡 剖宫产
被3家医院诊断为“宫内双胞胎”,孕程、产程都顺利的小Z,却只生下一个女儿。 “我们在上海、(四川)自贡两地3家医院,多次产检。术前检查的结论都是双活胎。为什么手术后只得一女?医院说,这是检查时看错影像。但我们认为说不通。”小Z家人表示。 据悉,四川自贡警方已受理报案,卫计部门也在跟进、调查。 2018年初: 小Z称,在上海市某妇幼保健院接受四维彩超,“第一次知道自己怀的是双胞胎”。 此后每半个月左右,她都到医院接受彩超检查。随后3次彩超检查结果,都是双活胎。 2018年6月21日、7月23日: 小Z返乡、待产,在自贡大安区回龙镇卫生院进行彩超检查。 两次超声提示均为双胎,胎儿存活。 2018年8月22日: 小Z在自贡中城医院接受术前检查。医院彩超检查结论为“宫内双活胎”。 其提供的“自贡中城医院术前小结”也显示,诊断及手术指征均有“宫内双活胎”的相关内容。 2018年8月23日: 小Z接受剖宫产。她表示,听到有人大声喊“咋只有一个”。 其夫很快进入手术室,被告知“只有一个孩子”。

2018年8月27日: 自贡中城医院在当地一网络论坛,发布《自贡中城医院关于“双胞胎疑云事件”的声明》(简称声明)。 《声明》称:入院当天(8月22日)进行彩超检查过程中,影像医师只发现一个胎儿,认为“单胎可能性大”,小Z表示不接受,再三陈述受孕后在上海某医院多次检查为双活胎。产科医师为慎重起见,要求影像医师再一次复查。在反复探查过程中,影像医师在左下腹发现一个类圆形强回声反射,结合小Z自诉和上海某院的检查报告,误认为此类圆形强回声反射为胎头,故报告为“宫内双活胎”。 医院在声明中表示,事后主动邀请产妇家属进行沟通。同时,积极配合警方调查取证,所有参与手术人员和相关人员均接受警方调查询问,并提取监控视频和其他证据。医院希望耐心等待官方调查结果。如果涉及医院任何问题,会承担相应的法律责任和相关后果。 2018年8月28日: 自贡中城医院相关负责人陪同小Z一家,到自流井区卫计局医政股,并在医政股介入下前往自贡市医学会,申请作医学鉴定。 医政股负责人表示,希望通过对胎盘的鉴定,查证胎盘上是一根还是两根脐带,以便佐证是双胎还是单胎。

第二家医院认为:可能此前有误诊 据悉,这是小Z第二次生产。她已有一个女儿,今年4岁。 小Z和家人自述没有重男轻女的思想。但全家人对即将出世、可能性“相当大”的龙凤胎十分期待。每一样婴儿用品,都是照着两份准备的。 每一样(婴儿用品)都准备了两份。

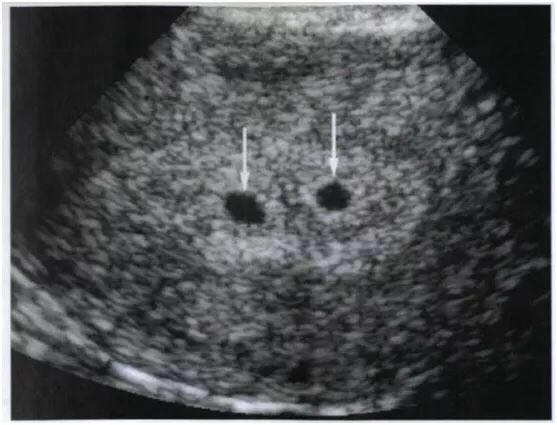
28日下午,成都商报记者采访大安区回龙镇卫生院负责人。 该负责人表示,普通彩超检查并非百分之百准确。他调取此前两次检查资料,经复查分析,认为确实有单胎可能性,不排除误诊可能。 “因为小Z自述是双胞胎,可能会误导医生在发现一个胎儿后,刻意寻找第二个胎儿。孕妇月龄偏大,影像照不全。如果胎儿活动,会使得检查时因角度不同而显示不同影像和数据,从而影响结果。”该负责人表示。 6问6答:双胞胎如何B超发现 截至目前,此事仍有较多细节,有待补充。 究竟当事人表述是否就能引导或改变超声检查结果,以及多份检查报告出现两个胎心(数据各不相同),该如何解释……这些问题仍有待解答。医学界妇产科频道也会密切关注相关进展。 而关于民众较关心的,“双胞胎到底能不能B超发现”、“B超说是就是吗”,上海交通大学医学院附属新华医院产科副主任医师张琳详细解答: 1问:双胞胎多在什么时候诊断? 答:在孕早中晚期,只要有提示双胎并经过超声明确诊断,双胎诊断成立。 孕12周后,B超提示两个胎儿、胎心均存在,考虑“双胎存活”。若一胎死亡且胚胎吸收(B超下未见死亡胚胎),可以诊断“单胎”;若另一胚胎死亡但仍看得见,诊断“双胎妊娠,一胎死亡”。 2问:B超出现哪些信息,能推断双胞胎活胎? 答:孕7周做超声,即可发现孕囊大小、位置、胚芽大小、卵黄囊的大小等。 是否有胎儿心管搏动,是不是双胎,双胎是单绒毛膜(单卵双胎),还是双绒毛膜(则双卵双胎可能性大)——此时皆可发现。 孕12周是检测单胎、双胎,以及绒毛膜性的另一个好时期,还能检测是否为连体双胎。

图片说明:孕早期B超提示两个孕囊。图片来源于@上海新华医院孕婴保健。 3问:B超说是双胎,还要加做其他检查吗? 答:一般,双胎依赖超声诊断。 另一个辅助检查方法是MRI。但不作为双胎常规的诊断方法,仅在胎儿有异常时选用。 临床查体也能发现双胎表现,比如腹部四步诊可以发现子宫异常增大;多个肢体和胎头;不同部位听到的两个不同胎心。 以往曾有X线检查诊断方法。但考虑到射线对胎儿的影响,已经全面取消。 4问:双胞胎有没有可能误判? 答:在孕早期,可能出现将孕囊出血暗区误诊为妊娠囊。但随着妊娠孕周增加可鉴别。 孕中期,较不容易误诊。 孕晚期由于胎儿较大,空间有限,容易漏诊连体双胎。 但若一胎早期死亡吸收,可出现早期双胎、晚期单胎的现象。 5问:产后,检查胎盘、脐带,能证明单双胎? 答:双胎在分娩时完全能诊断。一是可以检查胎儿为两个。二是两个胎盘及各自连接的脐带,或一个胎盘有两根脐带,都是双胎表现。 6问:4维超声比3维,准吗? 答:“四维”的概念就是“三维”(长*宽*高组成的立体空间)+时间轴。因此,只要是可以做三维彩超的超声机,就能做四维(时间浸润在检查过程中)。即,在动态过程中,检查胎儿的器官、外表和活动的可能异常。
发布于 18-08-30 10:02

2 个评论

发送