下载或打开 医联APP 查看完整评论
立即下载
打开APP
打开应用
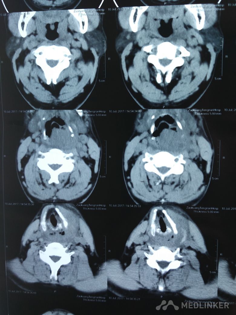
喉部肿物引起的症状。
刘医师
枣庄矿务局滕南医院
喉肿物
喉部不适半年。与半年前丝杆后部不适症状,近一个月来症状加重,并且伴有声音嘶哑,经过喉部ct检查,发现喉部新生物生长
。
发布于 18-05-30 22:17
打开医联APP阅读全文
医联推荐你看
喉部异物
喉部血肿
喉部肿物
共
0
个评论
暂无评论
发送
0